Antibody data
- Antibody Data
- Antigen structure
- References [1]
- Comments [0]
- Validations
- Western blot [1]
- Immunohistochemistry [1]
Submit
Validation data
Reference
Comment
Report error
- Product number
- AF6395 - Provider product page

- Provider
- Novus Biologicals
- Product name
- Sheep Polyclonal Gastrokine 1 Antibody
- Antibody type
- Polyclonal
- Description
- Immunogen affinity purified. Detects human Gastrokine 1 in direct ELISAs and Western blots. In direct ELISAs, less than 3% cross-reactivity with recombinant mouse Gastrokine 1 is observed.
- Reactivity
- Human
- Host
- Sheep
- Isotype
- IgG
- Vial size
- 100 ug
- Concentration
- LYOPH
- Storage
- Use a manual defrost freezer and avoid repeated freeze-thaw cycles. 12 months from date of receipt, -20 to -70 degreesC as supplied. 1 month, 2 to 8 degreesC under sterile conditions after reconstitution. 6 months, -20 to -70 degreesC under sterile conditions after reconstitution.
Submitted references Keratin 14-high subpopulation mediates lung cancer metastasis potentially through Gkn1 upregulation.
Yao S, Huang HY, Han X, Ye Y, Qin Z, Zhao G, Li F, Hu G, Hu L, Ji H
Oncogene 2019 Sep;38(36):6354-6369
Oncogene 2019 Sep;38(36):6354-6369
No comments: Submit comment
Supportive validation
- Submitted by
- Novus Biologicals (provider)
- Main image

- Experimental details
- Detection of Human Gastrokine 1 by Western Blot. Western blot shows lysates of human stomach tissue. PVDF Membrane was probed with 1 µg/mL of Human Gastrokine 1 Antigen Affinity-purified Polyclonal Antibody (Catalog # AF6395) followed by HRP-conjugated Anti-Sheep IgG Secondary Antibody (Catalog # HAF016). A specific band was detected for Gastrokine 1 at approximately 20 kDa (as indicated). This experiment was conducted under reducing conditions and using Immunoblot Buffer Group 8.
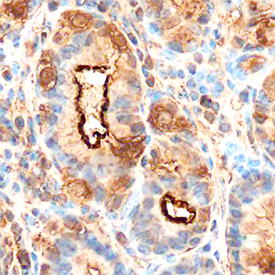
Supportive validation
- Submitted by
- Novus Biologicals (provider)
- Main image

- Experimental details
- Gastrokine 1 in Human Stomach. Gastrokine 1 was detected in immersion fixed paraffin-embedded sections of human stomach using Sheep Anti-Human Gastrokine 1 Antigen Affinity-purified Polyclonal Antibody (Catalog # AF6395) at 3 µg/mL overnight at 4 °C. Before incubation with the primary antibody, tissue was subjected to heat-induced epitope retrieval using Antigen Retrieval Reagent-Basic (Catalog # CTS013). Tissue was stained using the Anti-Sheep HRP-DAB Cell & Tissue Staining Kit (brown; Catalog # CTS019) and counterstained with hematoxylin (blue). Specific staining was localized to luminal part of glandular epithelial cells. View our protocol for Chromogenic IHC Staining of Paraffin-embedded Tissue Sections.