Antibody data
- Antibody Data
- Antigen structure
- References [0]
- Comments [0]
- Validations
- Immunohistochemistry [12]
Submit
Validation data
Reference
Comment
Report error
- Product number
- NBP2-31596 - Provider product page

- Provider
- Novus Biologicals
- Product name
- Rabbit Polyclonal VGF Antibody
- Antibody type
- Polyclonal
- Description
- Immunogen affinity purified. Specificity of human VGF antibody verified on a Protein Array containing target protein plus 383 other non-specific proteins.
- Reactivity
- Human
- Host
- Rabbit
- Isotype
- IgG
- Vial size
- 0.1 ml
- Storage
- Store at 4C short term. Aliquot and store at -20C long term. Avoid freeze-thaw cycles.
No comments: Submit comment
Supportive validation
- Submitted by
- Novus Biologicals (provider)
- Main image

- Experimental details
- Immunohistochemistry-Paraffin: VGF Antibody [NBP2-31596] - Staining of human cerebral cortex shows high expression.
- Submitted by
- Novus Biologicals (provider)
- Main image

- Experimental details
- Immunohistochemistry-Paraffin: VGF Antibody [NBP2-31596] - Staining of human liver shows low expression as expected.
- Submitted by
- Novus Biologicals (provider)
- Main image

- Experimental details
- Immunohistochemistry-Paraffin: VGF Antibody [NBP2-31596] - Staining of human pituitary gland shows strong cytoplasmic positivity in anterior cells.
- Submitted by
- Novus Biologicals (provider)
- Main image

- Experimental details
- Immunohistochemistry-Paraffin: VGF Antibody [NBP2-31596] - Staining of human colon.
- Submitted by
- Novus Biologicals (provider)
- Main image

- Experimental details
- Immunohistochemistry-Paraffin: VGF Antibody [NBP2-31596] - Staining of human hypothalamus.
- Submitted by
- Novus Biologicals (provider)
- Main image

- Experimental details
- Immunohistochemistry-Paraffin: VGF Antibody [NBP2-31596] - Analysis in human cerebral cortex and prostate tissues. Corresponding VGF RNA-seq data are presented for the same tissues.
- Submitted by
- Novus Biologicals (provider)
- Main image

- Experimental details
- Immunohistochemistry-Paraffin: VGF Antibody [NBP2-31596] - Staining of human testis.
- Submitted by
- Novus Biologicals (provider)
- Main image

- Experimental details
- Immunohistochemistry-Paraffin: VGF Antibody [NBP2-31596] - Staining of human hypothalamus shows strong positivity in a subset of neurons.
- Submitted by
- Novus Biologicals (provider)
- Main image

- Experimental details
- Immunohistochemistry-Paraffin: VGF Antibody [NBP2-31596] - Staining of human pituitary gland shows strong positivity in anterior cells.
- Submitted by
- Novus Biologicals (provider)
- Main image

- Experimental details
- Immunohistochemistry-Paraffin: VGF Antibody [NBP2-31596] - Staining of human hypothalamus, pituitary gland, placenta and prostate using Anti-VGF antibody NBP2-31596 (A) shows similar protein distribution across tissues to independent antibody NBP2-56358 (B).
- Submitted by
- Novus Biologicals (provider)
- Main image

- Experimental details
- Immunohistochemistry-Paraffin: VGF Antibody [NBP2-31596] - Staining of human placenta shows no positivity in trophoblastic cells as expected.
- Submitted by
- Novus Biologicals (provider)
- Main image

- Experimental details
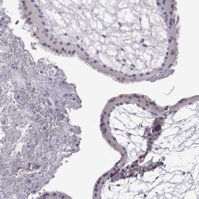
- Immunohistochemistry-Paraffin: VGF Antibody [NBP2-31596] - Staining of human prostate shows no positivity in glandular cells as expected.