Antibody data
- Antibody Data
- Antigen structure
- References [4]
- Comments [0]
- Validations
- Western blot [1]
- Immunocytochemistry [1]
- Immunohistochemistry [2]
Submit
Validation data
Reference
Comment
Report error
- Product number
- 25118-1-AP - Provider product page

- Provider
- Proteintech Group
- Product name
- DNAJB13 antibody
- Antibody type
- Polyclonal
- Description
- DNAJB13 antibody (Cat. #25118-1-AP) is a rabbit polyclonal antibody that shows reactivity with human, mouse, rat, Canine and has been validated for the following applications: IF, IHC, WB, ELISA.
- Reactivity
- Human, Mouse, Rat, Canine
- Host
- Rabbit
- Conjugate
- Unconjugated
- Isotype
- IgG
- Vial size
- 20ul, 150ul
Submitted references Normal Fertility of Dnajb13 (exon2 KO)/(exon2 c.106T > C Mut) Compound Heterozygous Mutant Male Mice.
DNAJB7 is dispensable for male fertility in mice.
Differential requirements of IQUB for the assembly of radial spoke 1 and the motility of mouse cilia and flagella.
A novel homozygous mutation in DNAJB13-a gene associated with the sperm axoneme-leads to teratozoospermia.
Lei W, Ming R, Shen Y, Liu G
Reproductive sciences (Thousand Oaks, Calif.) 2026 Mar;33(3):580-592
Reproductive sciences (Thousand Oaks, Calif.) 2026 Mar;33(3):580-592
DNAJB7 is dispensable for male fertility in mice.
Bai S, Hu M, Yu L, Chen L, Zhou J, Wu L, Xu B, Jiang X, Zhang X, Tong X, Yue Q
Reproductive biology and endocrinology : RB&E 2023 Mar 31;21(1):32
Reproductive biology and endocrinology : RB&E 2023 Mar 31;21(1):32
Differential requirements of IQUB for the assembly of radial spoke 1 and the motility of mouse cilia and flagella.
Zhang X, Xiao Z, Zhang J, Xu C, Liu S, Cheng L, Zhou S, Zhao S, Zhang Y, Wu J, Wang Y, Liu M
Cell reports 2022 Nov 22;41(8):111683
Cell reports 2022 Nov 22;41(8):111683
A novel homozygous mutation in DNAJB13-a gene associated with the sperm axoneme-leads to teratozoospermia.
Liu M, Li J, Jiang C, Zhou Y, Sun Y, Yang Y, Shen Y
Journal of assisted reproduction and genetics 2022 Mar;39(3):757-764
Journal of assisted reproduction and genetics 2022 Mar;39(3):757-764
No comments: Submit comment
Supportive validation
- Submitted by
- Proteintech Group (provider)
- Main image

- Experimental details
- mouse testis tissue were subjected to SDS PAGE followed by western blot with 25118-1-AP( DNAJB13 Antibody) at dilution of 1:1000
- Validation comment
- WB
Supportive validation
- Submitted by
- Proteintech Group (provider)
- Main image

- Experimental details
- Immunofluorescent analysis of MDCK cells using 25118-1-AP( DNAJB13 Antibody) at dilution of 1:25 and Alexa Fluor 488-congugated AffiniPure Goat Anti-Rabbit IgG(H+L)
- Validation comment
- IF
Supportive validation
Supportive validation
- Submitted by
- Proteintech Group (provider)
- Main image

- Experimental details
- Immunohistochemistry of paraffin-embedded mouse testis tissue slide using 25118-1-AP( DNAJB13 Antibody) at dilution of 1:50 (under 10x lens)
- Validation comment
- IHC
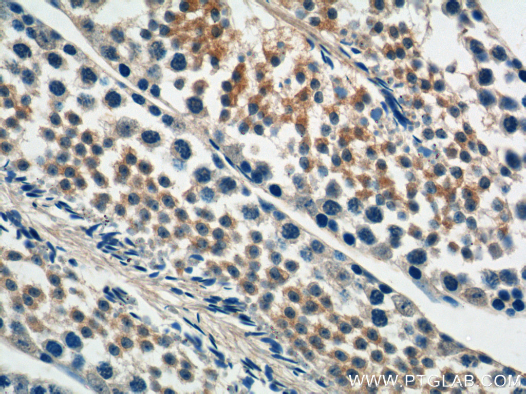
Supportive validation
- Submitted by
- Proteintech Group (provider)
- Main image

- Experimental details
- Immunohistochemistry of paraffin-embedded mouse testis tissue slide using 25118-1-AP( DNAJB13 Antibody) at dilution of 1:50 (under 40x lens)
- Validation comment
- IHC