Antibody data
- Antibody Data
- Antigen structure
- References [2]
- Comments [0]
- Validations
- Western blot [1]
Submit
Validation data
Reference
Comment
Report error
- Product number
- NBP1-05953 - Provider product page

- Provider
- Novus Biologicals
- Proper citation
- Novus Cat#NBP1-05953, RRID:AB_1555350
- Product name
- Rabbit Polyclonal VprBP Antibody
- Antibody type
- Polyclonal
- Description
- Immunogen affinity purified.
- Reactivity
- Human
- Host
- Rabbit
- Isotype
- IgG
- Vial size
- 0.1 ml
- Concentration
- 0.2 mg/ml
- Storage
- Store at 4C. Do not freeze.
Submitted references The Hippo kinases LATS1 and 2 control human breast cell fate via crosstalk with ERα.
Proteomic profiling of the human cytomegalovirus UL35 gene products reveals a role for UL35 in the DNA repair response.
Britschgi A, Duss S, Kim S, Couto JP, Brinkhaus H, Koren S, De Silva D, Mertz KD, Kaup D, Varga Z, Voshol H, Vissieres A, Leroy C, Roloff T, Stadler MB, Scheel CH, Miraglia LJ, Orth AP, Bonamy GM, Reddy VA, Bentires-Alj M
Nature 2017 Jan 26;541(7638):541-545
Nature 2017 Jan 26;541(7638):541-545
Proteomic profiling of the human cytomegalovirus UL35 gene products reveals a role for UL35 in the DNA repair response.
Salsman J, Jagannathan M, Paladino P, Chan PK, Dellaire G, Raught B, Frappier L
Journal of virology 2012 Jan;86(2):806-20
Journal of virology 2012 Jan;86(2):806-20
No comments: Submit comment
Supportive validation
- Submitted by
- Novus Biologicals (provider)
- Main image

- Experimental details
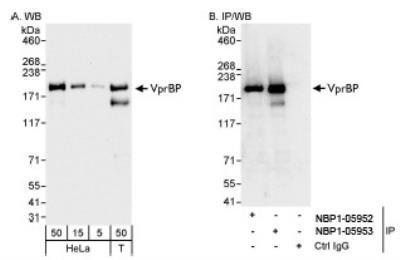
- Western Blot: VprBP Antibody [NBP1-05953] - Whole cell lysate from HeLa and 293T (T; 50 ug) cells. VprBP was also immunoprecipitated by another rabbit anti-VPRBP antibody NBP1-05952.