Antibody data
- Antibody Data
- Antigen structure
- References [0]
- Comments [0]
- Validations
- Immunohistochemistry [1]
Submit
Validation data
Reference
Comment
Report error
- Product number
- PA5-31726 - Provider product page

- Provider
- Invitrogen Antibodies
- Product name
- PYROXD2 Polyclonal Antibody
- Antibody type
- Polyclonal
- Antigen
- Recombinant full-length protein
- Description
- Recommended positive controls: 293T. Predicted reactivity: Mouse (84%), Rat (87%), Rhesus Monkey (97%), Bovine (87%). Store product as a concentrated solution. Centrifuge briefly prior to opening the vial.
- Reactivity
- Human
- Host
- Rabbit
- Isotype
- IgG
- Vial size
- 100 μL
- Concentration
- 1 mg/mL
- Storage
- Store at 4°C short term. For long term storage, store at -20°C, avoiding freeze/thaw cycles.
No comments: Submit comment
Supportive validation
- Submitted by
- Invitrogen Antibodies (provider)
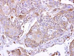
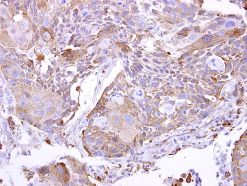
- Main image

- Experimental details
- PYROXD2 Polyclonal Antibody detects PYROXD2 protein at cytoplasm on human breast cancer by immunohistochemical analysis. Sample: Paraffin-embedded breast cancer. PYROXD2 Polyclonal Antibody (Product # PA5-31726) dilution: 1:500. Antigen Retrieval: EDTA based buffer, pH 8.0, 15 min.