Antibody data
- Antibody Data
- Antigen structure
- References [0]
- Comments [0]
- Validations
- Immunohistochemistry [1]
Submit
Validation data
Reference
Comment
Report error
- Product number
- 22055 - Provider product page

- Provider
- Signalway Antibody LLC
- Proper citation
- Signalway Cat#22055, RRID:AB_11123671
- Product name
- TRIM37 antibody
- Antibody type
- Polyclonal
- Antigen
- Synthetic peptide contain a sequence corresponding to a region within amino acids 902 and 964 of TRIM37
- Host
- Rabbit
- Conjugate
- Unconjugated
- Vial size
- 100µl
No comments: Submit comment
Supportive validation
- Submitted by
- Signalway Antibody LLC (provider)
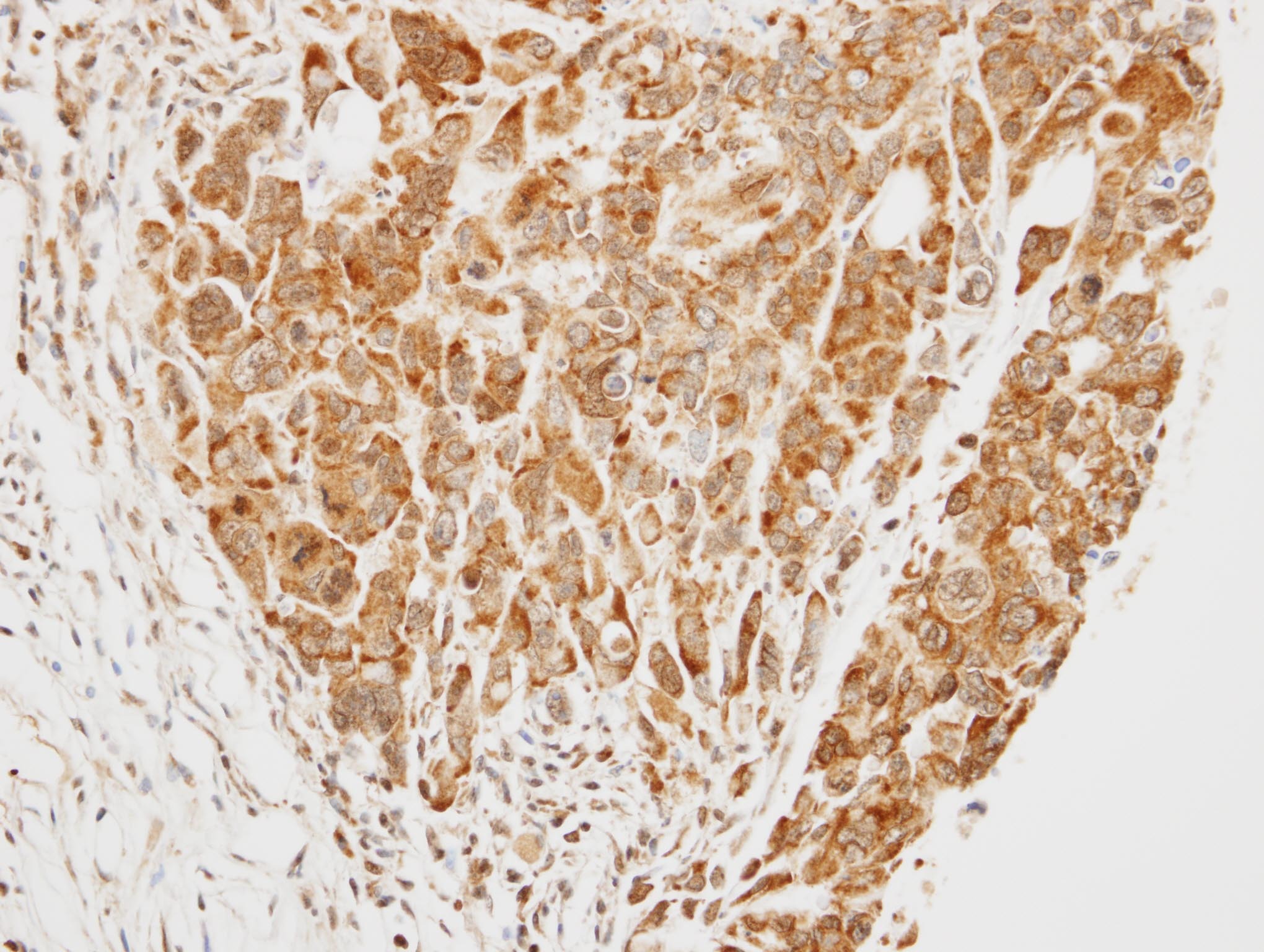
- Main image

- Experimental details
- Immunohistochemical analysis of paraffin-embedded SW480 xenograft, using TRIM37 antibody at 1: 1000 dilution.