Antibody data
- Antibody Data
- Antigen structure
- References [0]
- Comments [0]
- Validations
- Western blot [1]
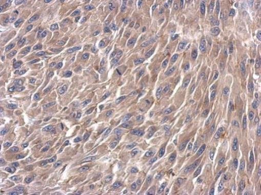
- Immunohistochemistry [1]
Submit
Validation data
Reference
Comment
Report error
- Product number
- ABIN2856297 - Provider product page

- Provider
- antibodies-online
- Product name
- anti-Tripartite Motif Containing 37 (TRIM37) (C-Term) antibody
- Antibody type
- Polyclonal
- Description
- Purified by antigen-affinity chromatography.
- Reactivity
- Human
- Host
- Rabbit
- Epitope
- C-Term
- Isotype
- IgG
- Vial size
- 100 μL
- Storage
- Keep as concentrated solution. Aliquot and store at -20°C or below. Avoid multiple freeze-thaw cycles.
No comments: Submit comment
Supportive validation
- Submitted by
- antibodies-online (provider)
- Main image

- Experimental details
- WB
Supportive validation
- Submitted by
- antibodies-online (provider)
- Main image

- Experimental details
- IHC