Antibody data
- Antibody Data
- Antigen structure
- References [0]
- Comments [0]
- Validations
- Western blot [1]
- Immunohistochemistry [1]
- Other assay [1]
Submit
Validation data
Reference
Comment
Report error
- Product number
- PA5-21737 - Provider product page

- Provider
- Invitrogen Antibodies
- Product name
- Anti-TRIM37 Polyclonal Antibody
- Antibody type
- Polyclonal
- Antigen
- Synthetic peptide
- Description
- PA5-21737 targets TRIM37 in ICC, IF, IHC (P), and WB applications and shows reactivity with Human samples. The PA5-21737 immunogen is a synthetic peptide corresponding to a region within amino acids 902 and 964 of TRIM37 (Uniprot ID#O94972). Store product as a concentrated solution. Centrifuge briefly prior to opening the vial. For short-term storage (1-2 weeks), product can be stored at 4°C. For long-term storage, aliquot and store product at -20° C or below, avioiding multiple freeze-thaw cycles.
- Reactivity
- Human
- Host
- Rabbit
- Isotype
- IgG
- Vial size
- 100 µL
- Concentration
- 1.02 mg/mL
- Storage
- Store at 4°C short term. For long term storage, store at -20°C, avoiding freeze/thaw cycles.
No comments: Submit comment
Supportive validation
- Submitted by
- Invitrogen Antibodies (provider)
- Main image

- Experimental details
- Western blot analysis of TRIM37 using 30 µg of A) A431 (B) HeLa and C) HepG2 lysate. Samples were loaded onto a 7.5% SDS-PAGE gel and probed with a TRIM37 polyclonal antibody (Product # PA5-21737) at a dilution of 1:1000.
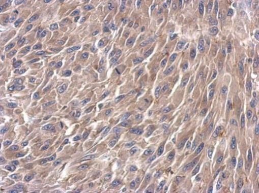
Supportive validation
- Submitted by
- Invitrogen Antibodies (provider)
- Main image

- Experimental details
- Immunohistochemical analysis of TRIM37 in paraffin-embedded U87 xenograft using a TRIM37 polyclonal antibody (Product # PA5-21737) at a dilution of 1:500.
Supportive validation
- Submitted by
- Invitrogen Antibodies (provider)
- Main image

- Experimental details
- Immunofluorescent analysis of TRIM37 in paraformaldehyde-fixed HeLa cells using a TRIM37 polyclonal antibody (Product # PA5-21737) at a 1:200 dilution.