Antibody data
- Antibody Data
 - Antigen structure
 - References [0]
 - Comments [0]
 - Validations
 - Immunoprecipitation [1]
 - Immunohistochemistry [3]
 - Other assay [1]
 
Submit
Validation data
Reference
Comment
Report error
- Product number
 - PA5-80601 - Provider product page

 - Provider
 - Invitrogen Antibodies
 - Product name
 - ETHE1 Polyclonal Antibody
 - Antibody type
 - Polyclonal
 - Antigen
 - Recombinant full-length protein
 - Description
 - This product is preservative free. It is recommended to add sodium azide to avoid contamination (final concentration 0.05%-0.1%). This antibody has specificity for Human ETHE1/HSCO.
 - Reactivity
 - Human
 - Host
 - Rabbit
 - Isotype
 - IgG
 - Vial size
 - 100 μL
 - Concentration
 - 1 mg/mL
 - Storage
 - Store at 4°C short term. For long term storage, store at -20°C, avoiding freeze/thaw cycles.
 
				No comments: Submit comment	
	
			
							
					Supportive validation
					
									
				
				- Submitted by
 - Invitrogen Antibodies (provider)
 - Main image
 
- Experimental details
 - ETHE1 Immunoprecipitation using: Lane A: 0.5 mg Hela Whole Cell Lysate, Lane B: 0.5 mg HepG2 Whole Cell Lysate, Lane C: 0.5 mg Jurkat Whole Cell Lysate 2 µL with ETHE1 Polyclonal Antibody (Product # PA5-80601) and 15 µL of 50 % Protein G agarose. Primary antibody: ETHE1 Polyclonal Antibody, at 1:100 dilution. Secondary antibody: Dylight 800-labeled antibody to rabbit IgG (H+L), at 1:5,000 dilution. Developed using the Odyssey technique. Performed under reducing conditions. Predicted band size: 28 kDa. Observed band size: 28 kDa.
 
							
					Supportive validation
					
									
				
				- Submitted by
 - Invitrogen Antibodies (provider)
 - Main image
 
- Experimental details
 - Immunohistochemical staining of human ETHE1 in human appendix with ETHE1 Polyclonal Antibody (Product # PA5-80601, 1:10,000, formalin-fixed paraffin embedded sections).
 
- Submitted by
 - Invitrogen Antibodies (provider)
 - Main image
 
- Experimental details
 - Immunohistochemical staining of human ETHE1 in human colon carcinoma with ETHE1 Polyclonal Antibody (Product # PA5-80601, 1:10,000, formalin-fixed paraffin embedded sections).
 
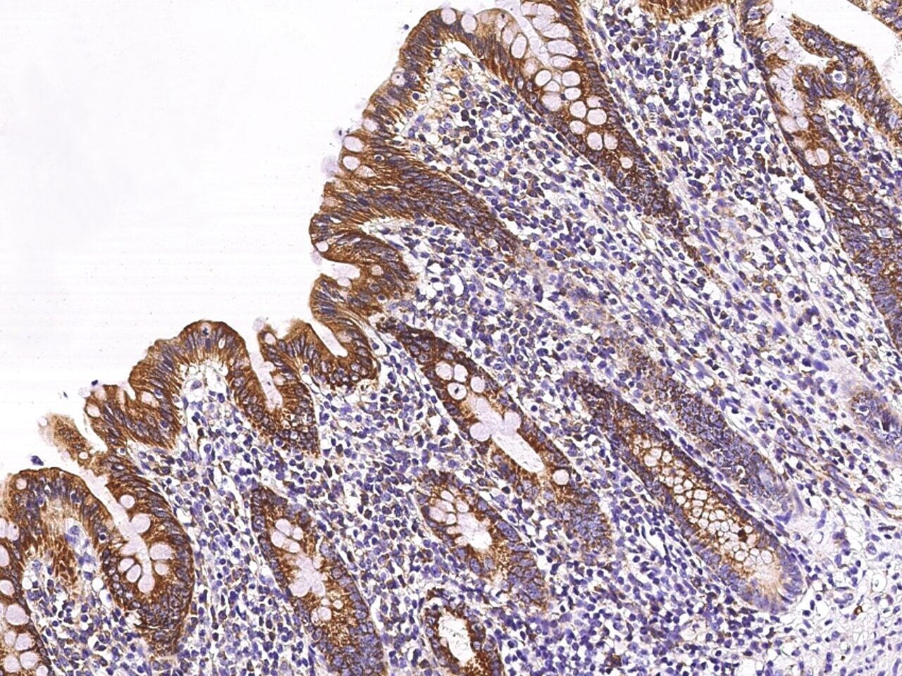
- Submitted by
 - Invitrogen Antibodies (provider)
 - Main image
 
- Experimental details
 - Immunohistochemical staining of human ETHE1 in human pancreas with ETHE1 Polyclonal Antibody (Product # PA5-80601, 1:10,000, formalin-fixed paraffin embedded sections).
 
							
					Supportive validation
					
									
				
		- Submitted by
 - Invitrogen Antibodies (provider)
 - Main image
 
- Experimental details
 - ETHE1 Immunoprecipitation using: Lane A: 0.5 mg Hela Whole Cell Lysate, Lane B: 0.5 mg HepG2 Whole Cell Lysate, Lane C: 0.5 mg Jurkat Whole Cell Lysate 2 µL with ETHE1 Polyclonal Antibody (Product # PA5-80601) and 15 µL of 50 % Protein G agarose. Primary antibody: ETHE1 Polyclonal Antibody, at 1:100 dilution. Secondary antibody: Dylight 800-labeled antibody to rabbit IgG (H+L), at 1:5,000 dilution. Developed using the Odyssey technique. Performed under reducing conditions. Predicted band size: 28 kDa. Observed band size: 28 kDa.