Antibody data
- Antibody Data
- Antigen structure
- References [0]
- Comments [0]
- Validations
- Immunocytochemistry [2]
- Immunohistochemistry [2]
Submit
Validation data
Reference
Comment
Report error
- Product number
- PA5-62128 - Provider product page

- Provider
- Invitrogen Antibodies
- Product name
- ZN576 Polyclonal Antibody
- Antibody type
- Polyclonal
- Antigen
- Recombinant protein fragment
- Description
- Immunogen sequence: MEDPNPEENM KQQDSPKERS PQSPGGNICH LGAPKCTRCL ITFADSKFQE RHMKREHPAD FV Highest antigen sequence identity to the following orthologs: Mouse - 31%, Rat - 31%.
- Reactivity
- Human
- Host
- Rabbit
- Isotype
- IgG
- Vial size
- 100 μL
- Concentration
- 0.1 mg/mL
- Storage
- Store at 4°C short term. For long term storage, store at -20°C, avoiding freeze/thaw cycles.
No comments: Submit comment
Supportive validation
- Submitted by
- Invitrogen Antibodies (provider)
- Main image

- Experimental details
- Immunofluorescent staining of ZN576 in human cell line HEK 293 shows positivity in the Golgi apparatus & nucleus but excluded from the nucleoli. Samples were probed using a ZN576 Polyclonal Antibody (Product # PA5-62128).
- Submitted by
- Invitrogen Antibodies (provider)
- Main image

- Experimental details
- Immunofluorecent analysis of ZN576 in human cell line HEK 293 using ZN576 Polyclonal Antibody (Product # PA5-62128). Staining shows localization to nucleoplasm and the Golgi apparatus.
Supportive validation
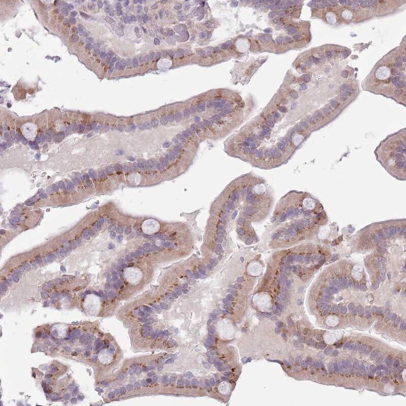
- Submitted by
- Invitrogen Antibodies (provider)
- Main image

- Experimental details
- Immunohistochemical analysis of ZN576 in human duodenum using ZN576 Polyclonal Antibody (Product # PA5-62128) shows moderate cytoplasmic positivity in glandular cells.
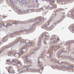
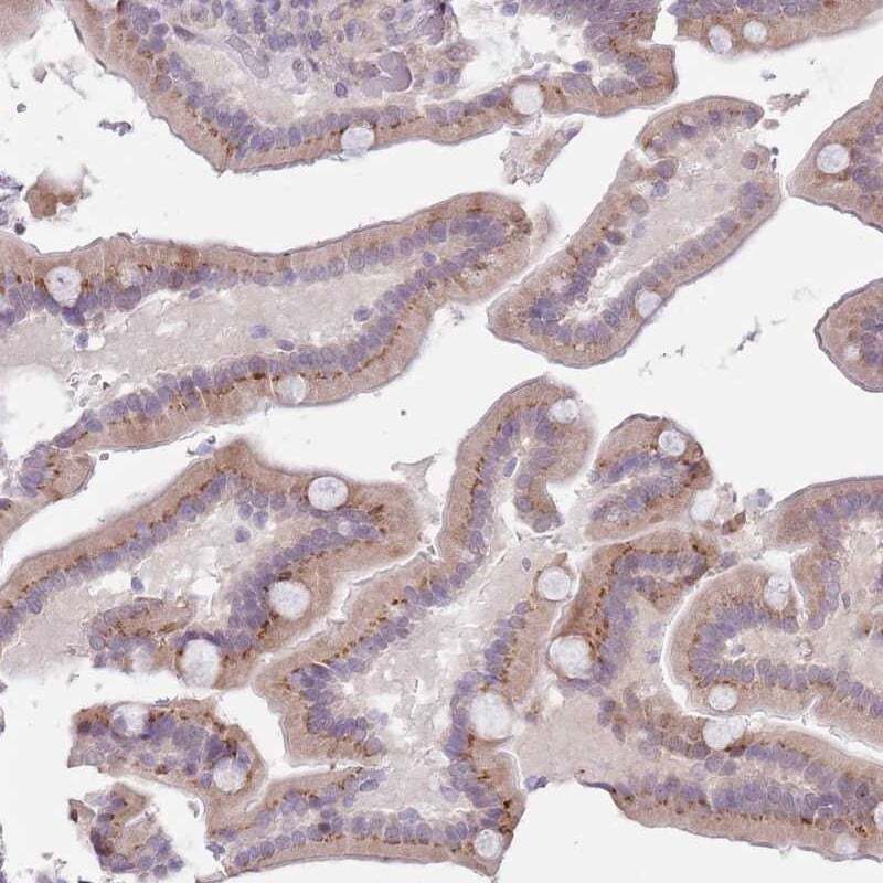
- Submitted by
- Invitrogen Antibodies (provider)
- Main image

- Experimental details
- Immunohistochemical analysis of ZN576 in human duodenum using ZN576 Polyclonal Antibody (Product # PA5-62128) shows moderate cytoplasmic positivity in glandular cells.