Antibody data
- Antibody Data
- Antigen structure
- References [0]
- Comments [0]
- Validations
- Immunohistochemistry [5]
Submit
Validation data
Reference
Comment
Report error
- Product number
- PA5-56793 - Provider product page

- Provider
- Invitrogen Antibodies
- Product name
- BEND6 Polyclonal Antibody
- Antibody type
- Polyclonal
- Antigen
- Recombinant protein fragment
- Description
- Immunogen sequence: KLTNTRKENS RLRQSLVMLQ VLPQAVTQFE ELVGMAEALL KGGGTMSTSA STLWRATNNS SPDSFASTCS Highest antigen sequence identity to the following orthologs: Mouse - 87%, Rat - 89%.
- Reactivity
- Human
- Host
- Rabbit
- Isotype
- IgG
- Vial size
- 100 μL
- Concentration
- 0.05 mg/mL
- Storage
- Store at 4°C short term. For long term storage, store at -20°C, avoiding freeze/thaw cycles.
No comments: Submit comment
Supportive validation
- Submitted by
- Invitrogen Antibodies (provider)
- Main image

- Experimental details
- Immunohistochemical analysis of BEND6 in human lymph node using BEND6 Polyclonal Antibody (Product # PA5-56793) shows no positivity in non-germinal center cells as expected.
- Submitted by
- Invitrogen Antibodies (provider)
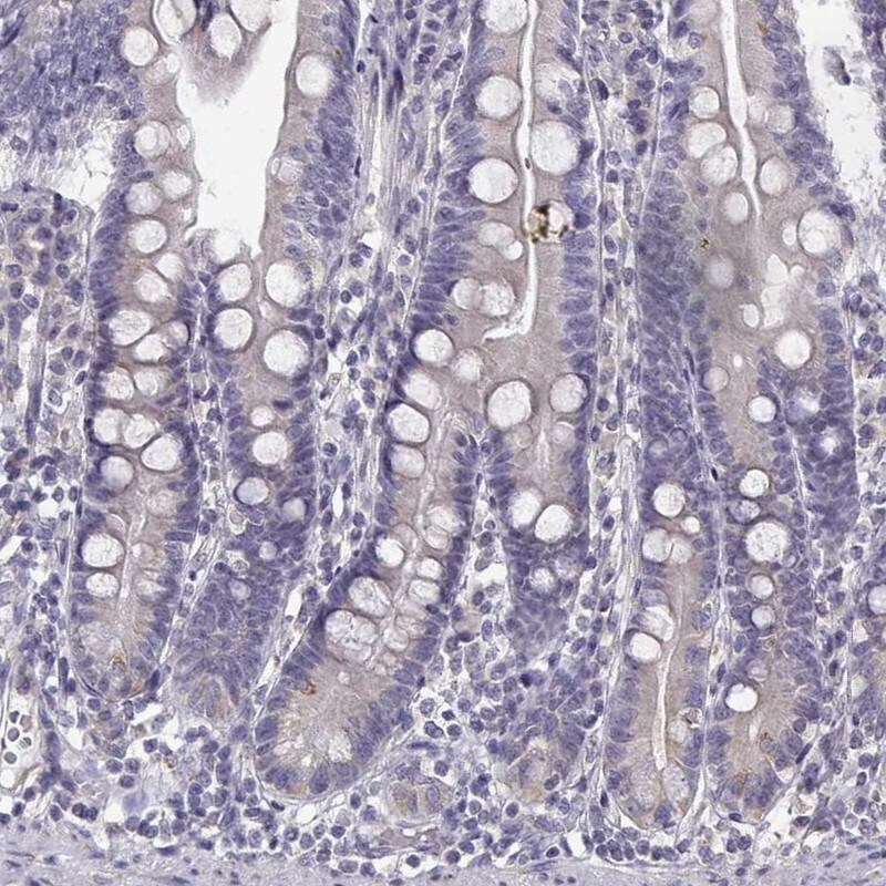
- Main image

- Experimental details
- Immunohistochemical staining of BEND6 in human duodenum using BEND6 Polyclonal Antibody (Product # PA5-56793) shows low expression as expected.
- Submitted by
- Invitrogen Antibodies (provider)
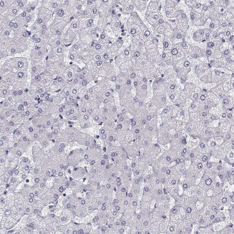
- Main image

- Experimental details
- Immunohistochemical analysis of BEND6 in human liver using BEND6 Polyclonal Antibody (Product # PA5-56793) shows no positivity in hepatocytes as expected.
- Submitted by
- Invitrogen Antibodies (provider)
- Main image

- Experimental details
- Immunohistochemical staining of BEND6 in human cerebral cortex and duodenum tissues using BEND6 Polyclonal Antibody (Product # PA5-56793). Corresponding BEND6 RNA-seq data are presented for the same tissues.
- Submitted by
- Invitrogen Antibodies (provider)
- Main image

- Experimental details
- Immunohistochemical staining of BEND6 in human cerebral cortex using BEND6 Polyclonal Antibody (Product # PA5-56793) shows high expression.