Antibody data
- Antibody Data
- Antigen structure
- References [0]
- Comments [0]
- Validations
- Western blot [1]
- Immunohistochemistry [1]
Submit
Validation data
Reference
Comment
Report error
- Product number
- ABIN950644 - Provider product page

- Provider
- antibodies-online
- Product name
- anti-BEN Domain Containing 6 (BEND6) (AA 225-254), (C-Term) antibody
- Antibody type
- Polyclonal
- Description
- Affinity chromatography on Protein A
- Reactivity
- Human
- Host
- Rabbit
- Epitope
- C-Term, AA 225-254
- Vial size
- 0.4 mL
- Storage
- Store the antibody undiluted at 2-8°C for one month or (in aliquots) at -20°C for longer.
- Handling
- Avoid repeated freezing and thawing.
No comments: Submit comment
Supportive validation
- Submitted by
- antibodies-online (provider)
- Main image

- Experimental details
- WB
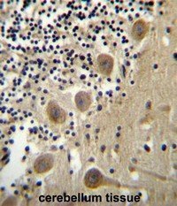
Supportive validation
- Submitted by
- antibodies-online (provider)
- Main image

- Experimental details
- IHC