Antibody data
- Antibody Data
- Antigen structure
- References [0]
- Comments [0]
- Validations
- Immunohistochemistry [1]
Submit
Validation data
Reference
Comment
Report error
- Product number
- M01542 - Provider product page

- Provider
- Boster Biological Technology
- Product name
- Anti-RPS3/Ribosomal Protein S3 Rabbit Monoclonal Antibody
- Antibody type
- Monoclonal
- Description
- Monoclonal antibody for RIBOSOMAL PROTEIN S3/RPS3 detection. Host: Rabbit.Size: 100ug/vial. Tested applications: IF, IHC, ICC, WB. Reactive species: Human, Mouse, Rat RIBOSOMAL PROTEIN S3/RPS3 information: Molecular Weight: 26688 MW; Subcellular Localization: Cytoplasm . Nucleus . Nucleus, nucleolus . Mitochondrion inner membrane ; Peripheral membrane protein . Cytoplasm, cytoskeleton, spindle . In normal cells, located mainly in the cytoplasm with small amounts in the nucleus but translocates to the nucleus in cells undergoing apoptosis (By similarity). Nuclear translocation is induced by DNA damaging agents such as hydrogen peroxide (PubMed:17560175). Accumulates in the mitochondrion in response to increased ROS levels (PubMed:23911537). Localizes to the spindle during mitosis (PubMed:23131551). Localized in cytoplasmic mRNP granules containing untranslated mRNAs (PubMed:17289661).
- Reactivity
- Human, Mouse, Rat
- Host
- Rabbit
- Antibody clone number
- DII-18
- Vial size
- 100ug/vial
- Concentration
- 0.5-1mg/ml, actual concentration vary by lot. Use suggested dilution ratio to decide dilution procedure.
- Storage
- At -20°C for one year. Avoid repeated freezing and thawing.
No comments: Submit comment
Supportive validation
- Submitted by
- Boster Biological Technology (provider)
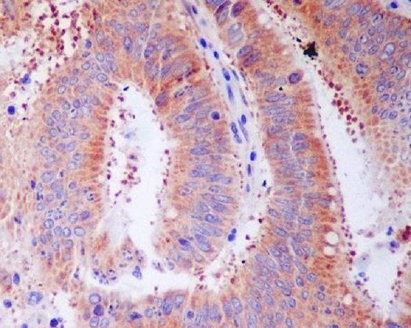
- Main image

- Experimental details
- Immunohistochemical analysis of paraffin-embedded human colon cancer, using RPS3 Antibody(M01542)RPS3 was detected in paraffin-embedded tissue section. Heat mediated antigen retrieval was performed in citrate buffer (pH6, epitope retrieval solution) for 20 mins. The tissue section was blocked with 10% goat serum. The tissue section was then incubated with 1ug/ml rabbit anti-RPS3 Antibody (M01542)overnight at 4?? Biotinylated goat anti-rabbit IgG was used as secondary antibody and incubated for 30 minutes at 37?? The tissue section was developed using Strepavidin-Biotin-Complex (SABC)(Catalog # SA1022) with DAB as the chromogen.
- Additional image
