Antibody data
- Antibody Data
- Antigen structure
- References [0]
- Comments [0]
- Validations
- Western blot [1]
- Immunohistochemistry [5]
Submit
Validation data
Reference
Comment
Report error
- Product number
- PA5-59217 - Provider product page

- Provider
- Invitrogen Antibodies
- Product name
- POC1A Polyclonal Antibody
- Antibody type
- Polyclonal
- Antigen
- Recombinant protein fragment
- Description
- Immunogen sequence: RLLYTLHGHQ GPATTVAFSR TGEYFASGGS DEQVMVWKSN FDIVDHGEVT KVPRPPATLA SSMGNLPEVD FPVPPGRGRS VESVQSQPQE PVSVPQTLTS TLEH Highest antigen sequence identity to the following orthologs: Mouse - 80%, Rat - 79%.
- Reactivity
- Human
- Host
- Rabbit
- Isotype
- IgG
- Vial size
- 100 μL
- Concentration
- 0.1 mg/mL
- Storage
- Store at 4°C short term. For long term storage, store at -20°C, avoiding freeze/thaw cycles.
No comments: Submit comment
Supportive validation
- Submitted by
- Invitrogen Antibodies (provider)
- Main image

- Experimental details
- Western blot analysis of POC1A in control (vector only transfected HEK293T lysate) and POC1A over-expression lysate (Co-expressed with a C-terminal myc-DDK tag (~3.1 kDa) in mammalian HEK293T cells). Samples were probed using a POC1A Polyclonal Antibody (Product # PA5-59217).
Supportive validation
- Submitted by
- Invitrogen Antibodies (provider)
- Main image

- Experimental details
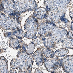
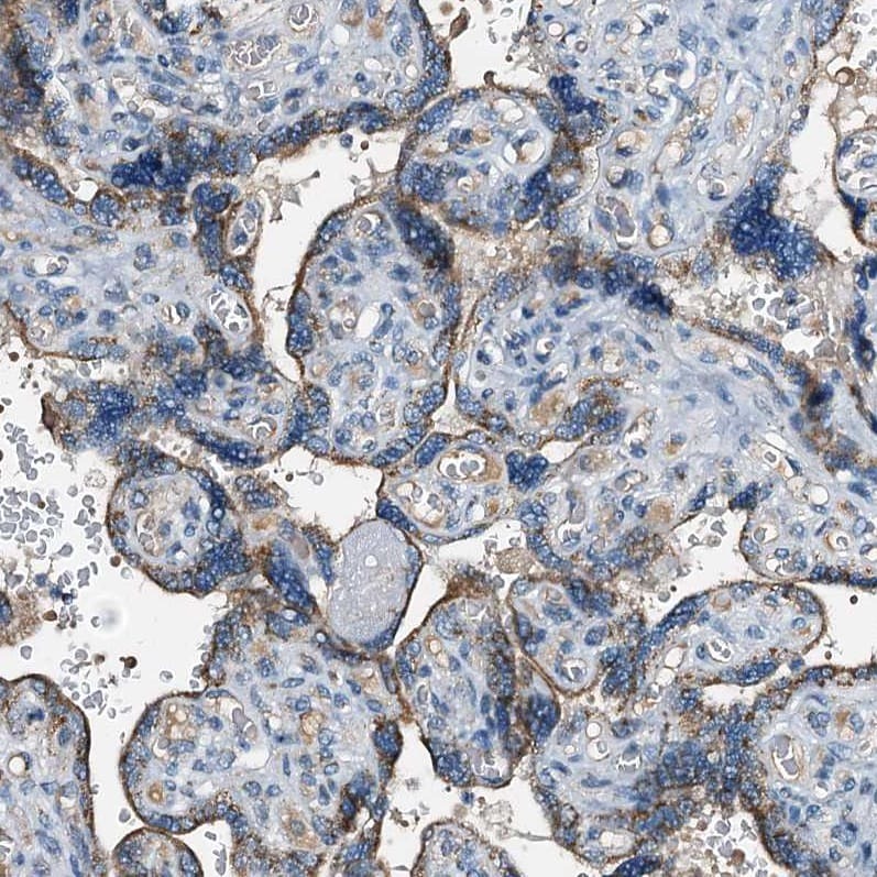
- Immunohistochemical analysis of POC1A in human placenta using POC1A Polyclonal Antibody (Product # PA5-59217) shows moderate granular cytoplasmic positivity in trophoblastic cells.
- Submitted by
- Invitrogen Antibodies (provider)
- Main image

- Experimental details
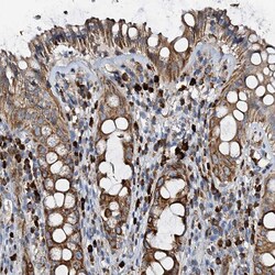
- Immunohistochemical analysis of POC1A in human rectum using POC1A Polyclonal Antibody (Product # PA5-59217) shows strong granular cytoplasmic positivity in lymphoid cells.
- Submitted by
- Invitrogen Antibodies (provider)
- Main image

- Experimental details
- Immunohistochemical analysis of POC1A in human skeletal muscle using POC1A Polyclonal Antibody (Product # PA5-59217) shows no positivity in myocytes as expected.
- Submitted by
- Invitrogen Antibodies (provider)
- Main image

- Experimental details
- Immunohistochemical analysis of POC1A in human testis using POC1A Polyclonal Antibody (Product # PA5-59217) shows strong granular cytoplasmic positivity in Leydig cells.
- Submitted by
- Invitrogen Antibodies (provider)
- Main image

- Experimental details
- Immunohistochemical analysis of POC1A in human placenta using POC1A Polyclonal Antibody (Product # PA5-59217) shows moderate granular cytoplasmic positivity in trophoblastic cells.