Antibody data
- Antibody Data
- Antigen structure
- References [0]
- Comments [0]
- Validations
- Immunocytochemistry [2]
- Immunohistochemistry [4]
Submit
Validation data
Reference
Comment
Report error
- Product number
- PA5-59413 - Provider product page

- Provider
- Invitrogen Antibodies
- Product name
- HECTD4 Polyclonal Antibody
- Antibody type
- Polyclonal
- Antigen
- Recombinant protein fragment
- Description
- Immunogen sequence: KETVHIPGAR CLYLRFDSRC SSQYDYDKLV IYAGPNTNSR KVAEYGGNTL GYGSRSVLGT GWPKDLVKVE GDTVTFSFEM RSGREHNTPD KAMWGFACTV R Highest antigen sequence identity to the following orthologs: Mouse - 99%, Rat - 99%.
- Reactivity
- Human
- Host
- Rabbit
- Isotype
- IgG
- Vial size
- 100 μL
- Concentration
- 0.30 mg/mL
- Storage
- Store at 4°C short term. For long term storage, store at -20°C, avoiding freeze/thaw cycles.
No comments: Submit comment
Supportive validation
- Submitted by
- Invitrogen Antibodies (provider)
- Main image

- Experimental details
- Immunofluorescent staining of HECTD4 in human cell line U-2 OS using a HECTD4 Polyclonal Antibody (Product # PA5-59413) shows localization to nuclear speckles and vesicles.
- Submitted by
- Invitrogen Antibodies (provider)
- Main image

- Experimental details
- Immunofluorescent staining of HECTD4 in human cell line U-2 OS using a HECTD4 Polyclonal Antibody (Product # PA5-59413) shows localization to nuclear speckles and vesicles.
Supportive validation
- Submitted by
- Invitrogen Antibodies (provider)
- Main image

- Experimental details
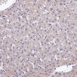
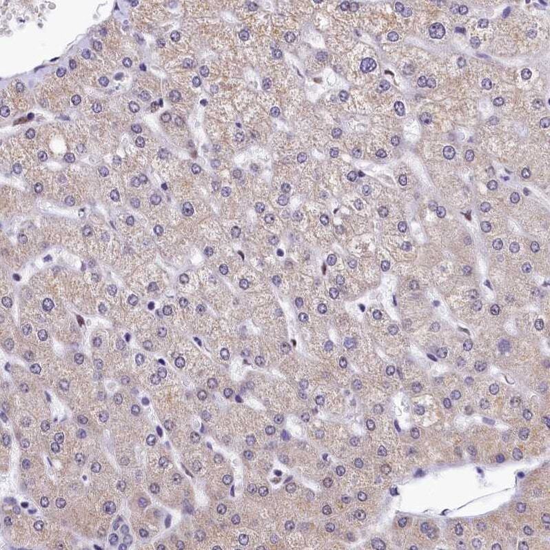
- Immunohistochemical analysis of HECTD4 in human liver using HECTD4 Polyclonal Antibody (Product # PA5-59413) shows no nuclear positivity in hepatocytes as expected.
- Submitted by
- Invitrogen Antibodies (provider)
- Main image

- Experimental details
- Immunohistochemical analysis of HECTD4 in human pancreas using HECTD4 Polyclonal Antibody (Product # PA5-59413) shows moderate nuclear and cytoplasmic positivity in exocrine glandular cells.
- Submitted by
- Invitrogen Antibodies (provider)
- Main image

- Experimental details
- Immunohistochemical analysis of HECTD4 in human testis using HECTD4 Polyclonal Antibody (Product # PA5-59413) shows moderate nuclear positivity in cells in seminiferous ducts.
- Submitted by
- Invitrogen Antibodies (provider)
- Main image

- Experimental details
- Immunohistochemical staining of HECTD4 in human testis using a HECTD4 Polyclonal Antibody (Product # PA5-59413) shows nuclear positivity in cells in seminiferous ducts and Leydig cells.