Antibody data
- Antibody Data
- Antigen structure
- References [0]
- Comments [0]
- Validations
- Western blot [1]
- Immunohistochemistry [3]
- Flow cytometry [1]
Submit
Validation data
Reference
Comment
Report error
- Product number
- NBP2-75411 - Provider product page

- Provider
- Novus Biologicals
- Product name
- Mouse Monoclonal HECTD4 Antibody
- Antibody type
- Monoclonal
- Description
- Protein A purified.
- Reactivity
- Human, Mouse
- Host
- Mouse
- Isotype
- IgG
- Vial size
- 100 ul
- Storage
- Store at 4C short term. Aliquot and store at -20C long term. Avoid freeze-thaw cycles.
No comments: Submit comment
Supportive validation
- Submitted by
- Novus Biologicals (provider)
- Main image

- Experimental details
- Western Blot: HECTD4 Antibody (A2-F5-F10) [NBP2-75411] - Analysis of C12orf51 on SH-SY5Y (1) and A549 (2) using anti-C12orf51 antibody at 1/100 dilution.
Supportive validation
- Submitted by
- Novus Biologicals (provider)
- Main image

- Experimental details
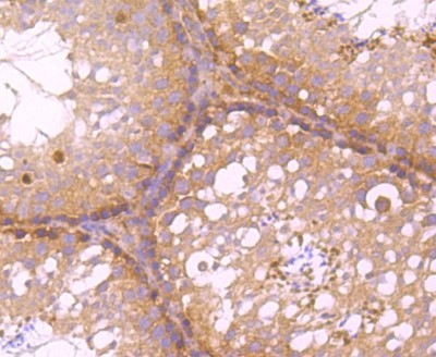
- Immunohistochemistry-Paraffin: HECTD4 Antibody (A2-F5-F10) [NBP2-75411] - Analysis of paraffin-embedded mouse testis tissue using anti-C12orf51 antibody. Counter stained with hematoxylin.
- Submitted by
- Novus Biologicals (provider)
- Main image

- Experimental details
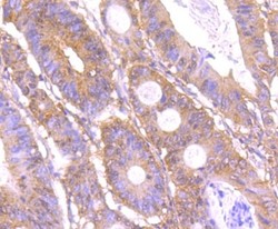
- Immunohistochemistry-Paraffin: HECTD4 Antibody (A2-F5-F10) [NBP2-75411] - Analysis of paraffin-embedded human colon cancer tissue using anti-C12orf51 antibody. Counter stained with hematoxylin.
- Submitted by
- Novus Biologicals (provider)
- Main image

- Experimental details
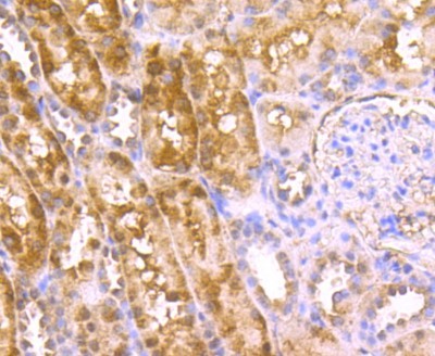
- Immunohistochemistry-Paraffin: HECTD4 Antibody (A2-F5-F10) [NBP2-75411] - Analysis of paraffin-embedded human kidney tissue using anti-C12orf51 antibody. Counter stained with hematoxylin.
Supportive validation
- Submitted by
- Novus Biologicals (provider)
- Main image

- Experimental details
- Flow Cytometry: HECTD4 Antibody (A2-F5-F10) [NBP2-75411] - Analysis of SH-SY5Y cells with C12orf51 antibody at 1/100 dilution (red) compared with an unlabelled control (cells without incubation with primary antibody; black).