Antibody data
- Antibody Data
- Antigen structure
- References [1]
- Comments [0]
- Validations
- Western blot [1]
- Immunocytochemistry [3]
- Immunohistochemistry [6]
- Flow cytometry [2]
Submit
Validation data
Reference
Comment
Report error
- Product number
- MA5-32878 - Provider product page

- Provider
- Invitrogen Antibodies
- Product name
- HECTD4 Monoclonal Antibody (A2-F5-F10)
- Antibody type
- Monoclonal
- Antigen
- Recombinant full-length protein
- Reactivity
- Human, Mouse
- Host
- Mouse
- Isotype
- IgG
- Antibody clone number
- A2-F5-F10
- Vial size
- 100 μL
- Concentration
- 2 mg/mL
- Storage
- Store at 4°C short term. For long term storage, store at -20°C, avoiding freeze/thaw cycles.
Submitted references Phosphatase PTPN22 Regulates Dendritic Cell Homeostasis and cDC2 Dependent T Cell Responses.
Purvis HA, Clarke F, Montgomery AB, Colas C, Bibby JA, Cornish GH, Dai X, Dudziak D, Rawlings DJ, Zamoyska R, Guermonprez P, Cope AP
Frontiers in immunology 2020;11:376
Frontiers in immunology 2020;11:376
No comments: Submit comment
Supportive validation
- Submitted by
- Invitrogen Antibodies (provider)
- Main image

- Experimental details
- Western blot analysis of HECTD4 in SH-SY5Y (1) and A549 (2) using a HECTD4 Monoclonal antibody (Product # MA5-32878) at a dilution of 1:100.
Supportive validation
- Submitted by
- Invitrogen Antibodies (provider)
- Main image

- Experimental details
- Immunocytochemical analysis of HECTD4 in HepG2 cells using a HECTD4 Monoclonal antibody (Product # MA5-32878).The nuclear counter stain is DAPI (blue). Cells were fixed in paraformaldehyde, permeabilised with 0.25% Triton X100/PBS.
- Submitted by
- Invitrogen Antibodies (provider)
- Main image

- Experimental details
- Immunocytochemical analysis of HECTD4 in PC-3M cells using a HECTD4 Monoclonal antibody (Product # MA5-32878).The nuclear counter stain is DAPI (blue). Cells were fixed in paraformaldehyde, permeabilised with 0.25% Triton X100/PBS.
- Submitted by
- Invitrogen Antibodies (provider)
- Main image

- Experimental details
- Immunocytochemical analysis of HECTD4 in PC-3M cells using a HECTD4 Monoclonal antibody (Product # MA5-32878).The nuclear counter stain is DAPI (blue). Cells were fixed in paraformaldehyde, permeabilised with 0.25% Triton X100/PBS.
Supportive validation
- Submitted by
- Invitrogen Antibodies (provider)
- Main image

- Experimental details
- Immunohistochemical analysis of HECTD4 of paraffin-embedded Human colon cancer tissue using a HECTD4 Monoclonal antibody (Product #MA5-32878). Counter stained with hematoxylin.
- Submitted by
- Invitrogen Antibodies (provider)
- Main image

- Experimental details
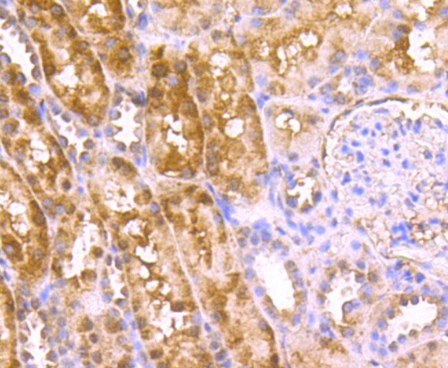
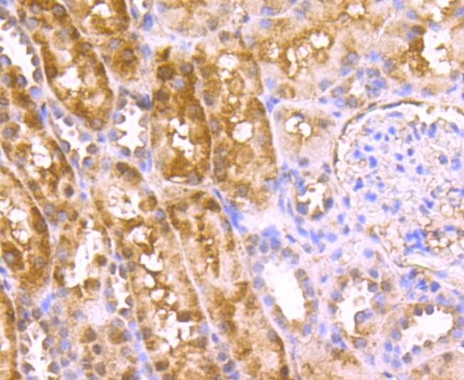
- Immunohistochemical analysis of HECTD4 of paraffin-embedded Human kidney tissue using a HECTD4 Monoclonal antibody (Product #MA5-32878). Counter stained with hematoxylin.
- Submitted by
- Invitrogen Antibodies (provider)
- Main image

- Experimental details
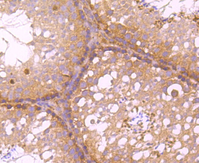
- Immunohistochemical analysis of HECTD4 of paraffin-embedded Mouse testis tissue using a HECTD4 Monoclonal antibody (Product #MA5-32878). Counter stained with hematoxylin.
- Submitted by
- Invitrogen Antibodies (provider)
- Main image

- Experimental details
- Immunohistochemical analysis of HECTD4 of paraffin-embedded Human kidney tissue using a HECTD4 Monoclonal antibody (Product #MA5-32878). Counter stained with hematoxylin.
- Submitted by
- Invitrogen Antibodies (provider)
- Main image

- Experimental details
- Immunohistochemical analysis of HECTD4 of paraffin-embedded Mouse testis tissue using a HECTD4 Monoclonal antibody (Product #MA5-32878). Counter stained with hematoxylin.
- Submitted by
- Invitrogen Antibodies (provider)
- Main image

- Experimental details
- Immunohistochemical analysis of HECTD4 of paraffin-embedded Human colon cancer tissue using a HECTD4 Monoclonal antibody (Product #MA5-32878). Counter stained with hematoxylin.
Supportive validation
- Submitted by
- Invitrogen Antibodies (provider)
- Main image

- Experimental details
- Flow Cytometric analysis of HECTD4 in SH-SY5Y cells using a HECTD4 Monoclonal Antibody (Product # MA5-32878) at a dilution of 1:100, as seen in red compared with an unlabelled control (cells without incubation with primary antibody; black).
- Submitted by
- Invitrogen Antibodies (provider)
- Main image

- Experimental details
- Flow Cytometric analysis of HECTD4 in SH-SY5Y cells using a HECTD4 Monoclonal Antibody (Product # MA5-32878) at a dilution of 1:100, as seen in red compared with an unlabelled control (cells without incubation with primary antibody; black).