Antibody data
- Antibody Data
- Antigen structure
- References [0]
- Comments [0]
- Validations
- Western blot [1]
- Immunohistochemistry [1]
Submit
Validation data
Reference
Comment
Report error
- Product number
- NBP2-04034 - Provider product page

- Provider
- Novus Biologicals
- Product name
- Rabbit Polyclonal RPL6 Antibody
- Antibody type
- Polyclonal
- Description
- Immunogen affinity purified.
- Reactivity
- Human
- Host
- Rabbit
- Isotype
- IgG
- Vial size
- 0.1 ml
- Concentration
- 0.2 mg/ml
- Storage
- Store at 4C. Do not freeze.
No comments: Submit comment
Supportive validation
- Submitted by
- Novus Biologicals (provider)
- Main image

- Experimental details
- Western Blot: RPL6 Antibody [NBP2-04034] - Whole cell lysate from 293T (15 and 50 ug), HeLa (H; 50 ug) and Jurkat (J; 50 ug) cells. Antibody used at 0.04 ug/ml.
Supportive validation
- Submitted by
- Novus Biologicals (provider)
- Main image

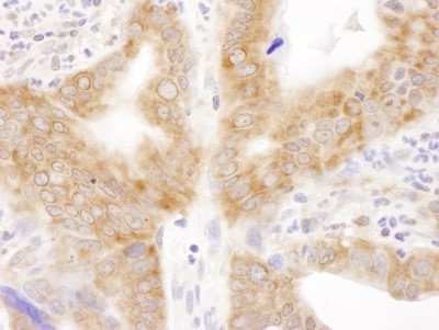
- Experimental details
- Immunohistochemistry: RPL6 Antibody [NBP2-04034] - Sample: FFPE section of human stomach carcinoma. Antibody: Affinity purified rabbit anti- RPL6 used at a dilution of 1:200 (1ug/ml). Detection: DAB. Counterstain: hematoxylin (blue).