Antibody data
- Antibody Data
- Antigen structure
- References [0]
- Comments [0]
- Validations
- Immunocytochemistry [3]
- Immunohistochemistry [5]
Submit
Validation data
Reference
Comment
Report error
- Product number
- PA5-56827 - Provider product page

- Provider
- Invitrogen Antibodies
- Product name
- SPOCD1 Polyclonal Antibody
- Antibody type
- Polyclonal
- Antigen
- Recombinant protein fragment
- Description
- Immunogen sequence: SPLLSPGLEV THSSLLLAVL LPKEGLPDTA GSSPWLGKVQ KMVSFNSKVE KRYYQPDDRR PNVPLKGTPP PGGAWQQSQG RGSIAPRGIS A Highest antigen sequence identity to the following orthologs: Mouse - 52%, Rat - 33%.
- Reactivity
- Human
- Host
- Rabbit
- Isotype
- IgG
- Vial size
- 100 μL
- Concentration
- 0.1 mg/mL
- Storage
- Store at 4°C short term. For long term storage, store at -20°C, avoiding freeze/thaw cycles.
No comments: Submit comment
Supportive validation
- Submitted by
- Invitrogen Antibodies (provider)
- Main image

- Experimental details
- Immunofluorescent staining of SPOCD1 in human cell line A-431 shows positivity in nucleus & nucleoli. Samples were probed using a SPOCD1 Polyclonal Antibody (Product # PA5-56827).
- Submitted by
- Invitrogen Antibodies (provider)
- Main image

- Experimental details
- Immunofluorescent staining of SPOCD1 in human cell line A-431 using SPOCD1 Polyclonal Antibody (Product # PA5-56827) shows localization to nucleus, nucleoli & cytosol.
- Submitted by
- Invitrogen Antibodies (provider)
- Main image

- Experimental details
- Immunofluorescent staining of SPOCD1 in human cell line A-431 using SPOCD1 Polyclonal Antibody (Product # PA5-56827) shows localization to nucleus, nucleoli & cytosol.
Supportive validation
- Submitted by
- Invitrogen Antibodies (provider)
- Main image

- Experimental details
- Immunohistochemical analysis of SPOCD1 in human liver using SPOCD1 Polyclonal Antibody (Product # PA5-56827) shows no positivity in hepatocytes as expected.
- Submitted by
- Invitrogen Antibodies (provider)
- Main image

- Experimental details
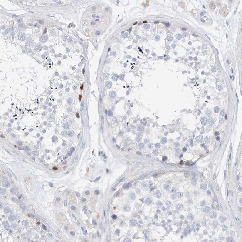
- Immunohistochemical analysis of SPOCD1 in human testis using SPOCD1 Polyclonal Antibody (Product # PA5-56827) shows moderate nuclear positivity in a subset of cells in seminiferous ducts.
- Submitted by
- Invitrogen Antibodies (provider)
- Main image

- Experimental details
- Immunohistochemical staining of SPOCD1 in human endometrium using SPOCD1 Polyclonal Antibody (Product # PA5-56827) shows low expression as expected.
- Submitted by
- Invitrogen Antibodies (provider)
- Main image

- Experimental details
- Immunohistochemical staining of SPOCD1 in human testis and endometrium tissues using SPOCD1 Polyclonal Antibody (Product # PA5-56827). Corresponding SPOCD1 RNA-seq data are presented for the same tissues.
- Submitted by
- Invitrogen Antibodies (provider)
- Main image

- Experimental details
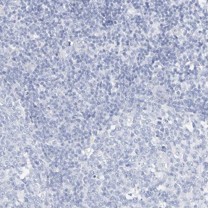
- Immunohistochemical analysis of SPOCD1 in human tonsil using SPOCD1 Polyclonal Antibody (Product # PA5-56827) shows no positivity in non-germinal center cells as expected.