Antibody data
- Antibody Data
- Antigen structure
- References [0]
- Comments [0]
- Validations
- Western blot [1]
- Immunohistochemistry [6]
Submit
Validation data
Reference
Comment
Report error
- Product number
- CF808532 - Provider product page

- Provider
- Invitrogen Antibodies
- Product name
- MCEE Monoclonal Antibody (OTI1B5), TrueMAB™
- Antibody type
- Monoclonal
- Antigen
- Recombinant full-length protein
- Reactivity
- Human
- Host
- Mouse
- Isotype
- IgG
- Antibody clone number
- OTI1B5
- Vial size
- 100 µg
- Concentration
- 1 mg/mL
- Storage
- -20° C, Avoid Freeze/Thaw Cycles
No comments: Submit comment
Supportive validation
- Submitted by
- Invitrogen Antibodies (provider)
- Main image

- Experimental details
- HEK293T cells were transfected with the pCMV6-ENTRY control (Left lane) or pCMV6-ENTRY MCEE (RC205018, Right lane) cDNA for 48 hrs and lysed. Equivalent amounts of cell lysates (5 µg per lane) were separated by SDS-PAGE and immunoblotted with anti-MCEE. (1. Positive lysates LY403176 (100 µg) and LC403176 (20 µg) can be purchased separately from OriGene.
Supportive validation
- Submitted by
- Invitrogen Antibodies (provider)
- Main image

- Experimental details
- Immunohistochemical staining of paraffin-embedded Carcinoma of Human pancreas tissue using anti-MCEE mouse monoclonal antibody. (Heat-induced epitope retrieval by Tris-EDTA, pH8.0, TA808532)(1:150)
- Submitted by
- Invitrogen Antibodies (provider)
- Main image

- Experimental details
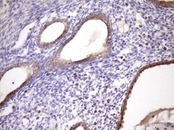
- Immunohistochemical staining of paraffin-embedded Adenocarcinoma of Human endometrium tissue using anti-MCEE mouse monoclonal antibody. (Heat-induced epitope retrieval by Tris-EDTA, pH8.0, TA808532)(1:150)
- Submitted by
- Invitrogen Antibodies (provider)
- Main image

- Experimental details
- Immunohistochemical staining of paraffin-embedded human prostate tissue within the normal limits using anti-MCEE mouse monoclonal antibody. (Heat-induced epitope retrieval by Tris-EDTA, pH8.0, TA808532)(1:150)
- Submitted by
- Invitrogen Antibodies (provider)
- Main image

- Experimental details
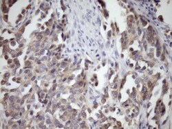
- Immunohistochemical staining of paraffin-embedded Carcinoma of Human prostate tissue using anti-MCEE mouse monoclonal antibody. (Heat-induced epitope retrieval by Tris-EDTA, pH8.0, TA808532)(1:150)
- Submitted by
- Invitrogen Antibodies (provider)
- Main image

- Experimental details
- Immunohistochemical staining of paraffin-embedded human bladder tissue within the normal limits using anti-MCEE mouse monoclonal antibody. (Heat-induced epitope retrieval by Tris-EDTA, pH8.0, TA808532)(1:150)
- Submitted by
- Invitrogen Antibodies (provider)
- Main image

- Experimental details
- Immunohistochemical staining of paraffin-embedded Adenocarcinoma of Human colon tissue using anti-MCEE mouse monoclonal antibody. (Heat-induced epitope retrieval by Tris-EDTA, pH8.0, TA808532)(1:150)