Antibody data
- Antibody Data
- Antigen structure
- References [0]
- Comments [0]
- Validations
- Western blot [1]
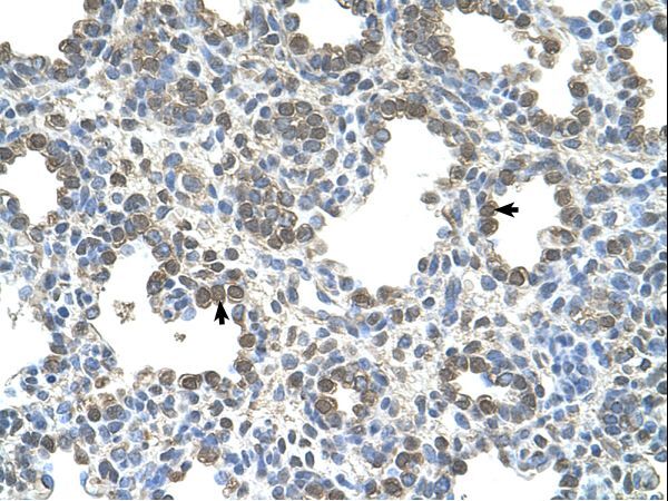
- Immunohistochemistry [1]
Submit
Validation data
Reference
Comment
Report error
- Product number
- LS-C446189 - Provider product page

- Provider
- LSBio
- Product name
- SLC26A5 Antibody (aa351-400, Biotin) LS-C446189
- Antibody type
- Polyclonal
- Description
- Protein A purified
- Reactivity
- Human, Mouse, Rat, Bovine, Canine, Guinea Pig, Horse, Porcine, Rabbit, Simian
- Host
- Rabbit
- Conjugate
- Biotin
- Isotype
- IgG
- Storage
- Short term: store at 4°C. Long term: add glycerol to 40-50%, aliquot to avoid freeze-thaw cycles, and store at -20°C. Protect from light.
No comments: Submit comment
Enhanced validation
- Submitted by
- LSBio (provider)
- Enhanced method
- Genetic validation
- Main image

- Experimental details
- Lane A: Marker. Lane B: HepG2 cell lysate. Antibody concentration: 2.5 ug/ml. Gel concentration: 12%. This image was taken for the unconjugated form of this product. Other forms have not been tested.
Supportive validation
- Submitted by
- LSBio (provider)
- Enhanced method
- Genetic validation
- Main image

- Experimental details
- SLC26A5 antibody SLC26A5(solute carrier family 26, member 5 (prestin)) Antibody was used in IHC to stain formalin-fixed, paraffin-embedded human lung. This image was taken for the unconjugated form of this product. Other forms have not been tested.