Antibody data
- Antibody Data
- Antigen structure
- References [0]
- Comments [0]
- Validations
- Immunocytochemistry [1]
- Immunohistochemistry [1]
Submit
Validation data
Reference
Comment
Report error
- Product number
- PAB23057 - Provider product page

- Provider
- Abnova Corporation
- Proper citation
- Abnova Corporation Cat#PAB23057, RRID:AB_11121540
- Product name
- ZNF638 polyclonal antibody
- Antibody type
- Polyclonal
- Description
- Rabbit polyclonal antibody raised against recombinant ZNF638.
- Antigen sequence
GLLKPTSARSGLAESSSKFKPTQSSLTRGGSGRIS
ALQGKLSKLDYRDITKQSQETEARPSIMKRDDSNN
KTLAEQNTKNPK- Isotype
- IgG
- Storage
- Store at 4°C. For long term storage store at -20°C.Aliquot to avoid repeated freezing and thawing.
No comments: Submit comment
Supportive validation
- Submitted by
- Abnova Corporation (provider)
- Main image

- Experimental details
- Immunofluorescent staining of human cell line U-2 OS with ZNF638 polyclonal antibody (Cat # PAB23057) at 1-4 ug/mL dilution shows positivity in nucleus but not nucleoli and vesicles.
- Validation comment
- Immunofluorescence
Supportive validation
- Submitted by
- Abnova Corporation (provider)
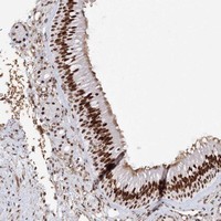
- Main image

- Experimental details
- Immunohistochemical staining of human nasopharynx with ZNF638 polyclonal antibody (Cat # PAB23057) shows strong nuclear positivity in respiratory epithelial cells at 1:200-1:500 dilution.
- Validation comment
- Immunohistochemistry (Formalin/PFA-fixed paraffin-embedded sections)