Antibody data
- Antibody Data
- Antigen structure
- References [1]
- Comments [0]
- Validations
- Western blot [1]
- Immunohistochemistry [1]
Submit
Validation data
Reference
Comment
Report error
- Product number
- TA342728 - Provider product page

- Provider
- OriGene
- Product name
- Rabbit Polyclonal Anti-CRY1 Antibody
- Antibody type
- Polyclonal
- Description
- Rabbit Polyclonal Anti-CRY1 Antibody
- Host
- Rabbit
- Conjugate
- Unconjugated
- Epitope
- CRY1
- Isotype
- IgG
- Antibody clone number
- NULL
- Vial size
- 100 µl
- Concentration
- NULL
Submitted references Autophagy Regulates the Liver Clock and Glucose Metabolism by Degrading CRY1.
Toledo M, Batista-Gonzalez A, Merheb E, Aoun ML, Tarabra E, Feng D, Sarparanta J, Merlo P, Botrè F, Schwartz GJ, Pessin JE, Singh R
Cell metabolism 2018 Aug 7;28(2):268-281.e4
Cell metabolism 2018 Aug 7;28(2):268-281.e4
No comments: Submit comment
Supportive validation
- Submitted by
- OriGene (provider)
- Main image

- Experimental details
- Host: Rabbit; Target Name:CRY1; Sample Tissue:Hela Whole cell; Lane A: Primary Antibody; Lane B: Primary Antibody + Blocking Peptide ; Primary Antibody Concentration:1 ug/ml; Peptide Concentration: 5ug/ml; Lysate Quantity: 25ug/lane; Gel Concentration: 0.
- Validation comment
- WB
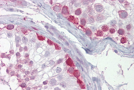
Supportive validation
- Submitted by
- OriGene (provider)
- Main image

- Experimental details
- Immunohistochemistry with Testis tissue at an antibody concentration of 5 ug/ml using anti-CRY1 antibody
- Validation comment
- IHC