Antibody data
- Antibody Data
- Antigen structure
- References [3]
- Comments [0]
- Validations
- Immunocytochemistry [1]
- Immunohistochemistry [1]
Submit
Validation data
Reference
Comment
Report error
- Product number
- NBP1-84266 - Provider product page

- Provider
- Novus Biologicals
- Proper citation
- Novus Cat#NBP1-84266, RRID:AB_11016173
- Product name
- Rabbit Polyclonal Myosin VIIa Antibody
- Antibody type
- Polyclonal
- Description
- Immunogen affinity purified. Specificity of human, mouse Myosin VIIa antibody verified on a Protein Array containing target protein plus 383 other non-specific proteins
- Reactivity
- Human, Mouse
- Host
- Rabbit
- Isotype
- IgG
- Vial size
- 0.1 ml
- Storage
- Store at 4C short term. Aliquot and store at -20C long term. Avoid freeze-thaw cycles.
Submitted references Microenvironmental support for cell delivery to the inner ear.
Exploiting decellularized cochleae as scaffolds for inner ear tissue engineering.
Nonviral Reprogramming of Human Wharton's Jelly Cells Reveals Differences Between ATOH1 Homologues.
Schulze J, Sasse S, Prenzler N, Staecker H, Mellott AJ, Roemer A, Durisin M, Lenarz T, Warnecke A
Hearing research 2018 Oct;368:109-122
Hearing research 2018 Oct;368:109-122
Exploiting decellularized cochleae as scaffolds for inner ear tissue engineering.
Mellott AJ, Shinogle HE, Nelson-Brantley JG, Detamore MS, Staecker H
Stem cell research & therapy 2017 Feb 28;8(1):41
Stem cell research & therapy 2017 Feb 28;8(1):41
Nonviral Reprogramming of Human Wharton's Jelly Cells Reveals Differences Between ATOH1 Homologues.
Mellott AJ, Devarajan K, Shinogle HE, Moore DS, Talata Z, Laurence JS, Forrest ML, Noji S, Tanaka E, Staecker H, Detamore MS
Tissue engineering. Part A 2015 Jun;21(11-12):1795-809
Tissue engineering. Part A 2015 Jun;21(11-12):1795-809
No comments: Submit comment
Supportive validation
- Submitted by
- Novus Biologicals (provider)
- Main image

- Experimental details
- Immunocytochemistry/Immunofluorescence: Myosin VIIa Antibody [NBP1-84266] - Staining of human cell line U-2 OS shows positivity in cytoplasm. Antibody staining is shown in green.
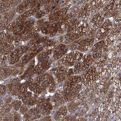
Supportive validation
- Submitted by
- Novus Biologicals (provider)
- Main image

- Experimental details
- Immunohistochemistry-Paraffin: Myosin VIIa Antibody [NBP1-84266] - Staining of human adrenal gland shows strong cytoplasmic and membranous positivity in cortical cells.