Antibody data
- Antibody Data
- Antigen structure
- References [0]
- Comments [0]
- Validations
- Western blot [1]
- Immunohistochemistry [1]
Submit
Validation data
Reference
Comment
Report error
- Product number
- AP7796c - Provider product page

- Provider
- Abcepta
- Proper citation
- Abgent Cat#AP7796c, RRID:AB_2258453
- Product name
- APOC2 Antibody (Center)
- Antibody type
- Polyclonal
- Antigen
- Synthetic peptide
- Description
- Peptide Affinity Purified Rabbit Polyclonal Antibody (Pab)
- Reactivity
- Human
- Host
- Rabbit
- Isotype
- IgG
- Vial size
- 400 µl
- Concentration
- 0.5 mg/ml
- Storage
- Maintain refrigerated at 2-8°C for up to 6 months. For long term storage store at -20°C in small aliquots to prevent freeze-thaw cycles.
No comments: Submit comment
Supportive validation
- Submitted by
- Abcepta (provider)
- Main image

- Experimental details
- "APOC2 Antibody (Center) (Cat. #AP7796c) western blot analysis in HL-60(lane 1),A549(lane 2) cell line lysates (35ug/lane).This demonstrates the APOC2 antibody detected the APOC2 protein (arrow)."
- Primary Ab dilution
- 1:1000
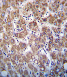
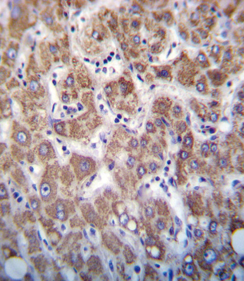
Supportive validation
- Submitted by
- Abcepta (provider)
- Main image

- Experimental details
- APOC2 Antibody (Center) (Cat. #AP7796c)immunohistochemistry analysis in formalin fixed and paraffin embedded human liver tissue followed by peroxidase conjugation of the secondary antibody and DAB staining.This data demonstrates the use of APOC2 Antibody (Center) for immunohistochemistry. Clinical relevance has not been evaluated.
- Primary Ab dilution
- 1:10~50