Antibody data
- Antibody Data
- Antigen structure
- References [0]
- Comments [0]
- Validations
- Immunohistochemistry [1]
Submit
Validation data
Reference
Comment
Report error
- Product number
- AP08605PU-N - Provider product page

- Provider
- Acris Antibodies GmbH
- Proper citation
- Acris Antibodies GmbH Cat#AP08605PU-N, RRID:AB_1975471
- Product name
- anti Apolipoprotein C II (Apo CII)
- Antibody type
- Polyclonal
- Antigen
- Recombinant Human Apo CII protein.
- Reactivity
- Human
- Host
- Goat
- Isotype
- IgG
- Vial size
- 50 µg
No comments: Submit comment
Supportive validation
- Submitted by
- Acris Antibodies GmbH (provider)
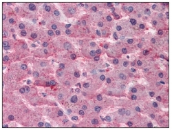
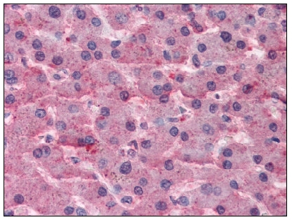
- Main image

- Experimental details
- AP08605PU-N Apolipoprotein CII antibody staining of Formalin-Fixed Paraffin-Embedded Human Liver.