AP02403PU-S
antibody from Acris Antibodies GmbH
Targeting: MAPT
DDPAC, FLJ31424, FTDP-17, MAPTL, MGC138549, MSTD, MTBT1, MTBT2, PPND, PPP1R103, tau
Antibody data
- Antibody Data
- Antigen structure
- References [0]
- Comments [0]
- Validations
- Western blot [1]
- Immunocytochemistry [1]
- Immunohistochemistry [1]
Submit
Validation data
Reference
Comment
Report error
- Product number
- AP02403PU-S - Provider product page

- Provider
- Acris Antibodies GmbH
- Proper citation
- Acris Antibodies GmbH Cat#AP02403PU-S, RRID:AB_1623504
- Product name
- anti MAPT / TAU pSer262
- Antibody type
- Polyclonal
- Antigen
- The antiserum was produced against synthesized phosphopeptide derived from human Tau around the phosphorylation site of serine 262 (I-G-SP-T-E).
- Reactivity
- Human, Mouse, Rat
- Host
- Rabbit
- Vial size
- 50 µl
- Concentration
- 1.0 mg/ml
No comments: Submit comment
Supportive validation
- Submitted by
- Acris Antibodies GmbH (provider)
- Main image

- Experimental details
- Figure 2. Western blot analysis of extracts from mouse brain tissue using Tau antibody (AP02633PU, Lane 1 and 2) and Tau (phospho-Ser262) antibody (AP02403PU, Lane 3 and 4).
Supportive validation
- Submitted by
- Acris Antibodies GmbH (provider)
- Main image

- Experimental details
- Figure 3. Immunofluorescence staining of methanol-fixed HeLa cells using Tau (phospho-Ser262) antibody (#AP02403PU, Red).
Supportive validation
- Submitted by
- Acris Antibodies GmbH (provider)
- Main image

- Experimental details
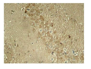
- Figure 1. Immunohistochemical analysis of paraffin-embedded rat hippocampal region tissue from a model with Alzheimer's Disease using Tau (phospho-Ser262) antibody (AP02403PU).