Antibody data
- Antibody Data
- Antigen structure
- References [0]
- Comments [0]
- Validations
- Western blot [1]
Submit
Validation data
Reference
Comment
Report error
- Product number
- BS7935 - Provider product page

- Provider
- Bioworld Technology, Inc
- Product name
- MLL5 polyclonal antibody
- Antibody type
- Polyclonal
- Antigen
- Recombinant full length Human MLL5.
- Description
- The mixed lineage leukemia (MLL) gene family comprise a group of Histone H3 lysine 4 (H3K4) methyltransferases within the larger SET1 family. The founding member MLL commonly undergoes translocations in infantile leukemia and displays increased expression in some adult myeloid leukemias. MLL2, also designated ALR, exists within a complex of proteins. MLL2 is important for mouse embryonic development and may be involved in adhesion-related cytoskeletal events affecting cell growth and survival. The MLL2 gene maps to the human locus 19q13.1, which is a frequent target of rearrangement or amplification in solid tumors. MLL3 or its paralogue MLL4 associate with activating signal cointegrator-2 (ASC-2), which regulates ligand-dependent H3K4 trimethylation and expression of LXR-target genes. MLL3 maps to a location on human chromosome 7 that is often deleted in myeloid disorders. MLL3 also exhibits higher expression in peripheral blood, placenta, pancreas, testis, and fetal thymus. MLL5 localizes to the nucleus and forms intranuclear protein complexes, which may regulate chromatin remodeling and cellular growth suppression. The gene encoding human MLL5 lies within chromosome band 7q22.3, a region deleted in cytogenetic aberrations of acute myeloid malignancies.
- Reactivity
- Human, Mouse, Rat
- Host
- Rabbit
- Isotype
- IgG
- Vial size
- 100ul
- Concentration
- 1 mg/ml
- Storage
- Store at 4°C short term. Aliquot and store at -20°C long term. Avoid freeze-thaw cycles.
No comments: Submit comment
Supportive validation
- Submitted by
- Bioworld Technology, Inc (provider)
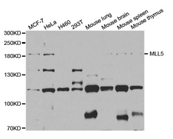
- Main image

- Experimental details
- WesternBlot (WB) analysis of MLL5 polyclonal antibody