Antibody data
- Antibody Data
- Antigen structure
- References [10]
- Comments [0]
- Validations
- Western blot [8]
- Immunoprecipitation [1]
- Immunohistochemistry [2]
Submit
Validation data
Reference
Comment
Report error
- Product number
- GTX128839 - Provider product page

- Provider
- GeneTex
- Product name
- Integrin beta 1 / CD29 antibody
- Antibody type
- Polyclonal
- Reactivity
- Human, Mouse, Rat, Canine
- Host
- Rabbit
Submitted references Fucoxanthin potentiates anoikis in colon mucosa and prevents carcinogenesis in AOM/DSS model mice.
NF-κB signaling and integrin-β1 inhibition attenuates osteosarcoma metastasis via increased cell apoptosis.
Downregulation of C-Terminal Tensin-Like Protein (CTEN) Suppresses Prostate Cell Proliferation and Contributes to Acinar Morphogenesis.
Galectin-3 modulates the polarized surface delivery of β1-integrin in epithelial cells.
The Use of PET Imaging for Prognostic Integrin α(2)β(1) Phenotyping to Detect Non-Small Cell Lung Cancer and Monitor Drug Resistance Responses.
Fibronectin in cell adhesion and migration via N-glycosylation.
Synthesis and anti-metastatic effects of pregn-17(20)-en-3-amine derivatives.
A small physiological electric field mediated responses of extravillous trophoblasts derived from HTR8/SVneo cells: involvement of activation of focal adhesion kinase signaling.
Evaluation of prognostic integrin α2β1 PET tracer and concurrent targeting delivery using focused ultrasound for brain glioma detection.
Calreticulin activates β1 integrin via fucosylation by fucosyltransferase 1 in J82 human bladder cancer cells.
Terasaki M, Iida T, Kikuchi F, Tamura K, Endo T, Kuramitsu Y, Tanaka T, Maeda H, Miyashita K, Mutoh M
The Journal of nutritional biochemistry 2019 Feb;64:198-205
The Journal of nutritional biochemistry 2019 Feb;64:198-205
NF-κB signaling and integrin-β1 inhibition attenuates osteosarcoma metastasis via increased cell apoptosis.
Li R, Shi Y, Zhao S, Shi T, Zhang G
International journal of biological macromolecules 2019 Feb 15;123:1035-1043
International journal of biological macromolecules 2019 Feb 15;123:1035-1043
Downregulation of C-Terminal Tensin-Like Protein (CTEN) Suppresses Prostate Cell Proliferation and Contributes to Acinar Morphogenesis.
Wu WM, Liao YC
International journal of molecular sciences 2018 Oct 16;19(10)
International journal of molecular sciences 2018 Oct 16;19(10)
Galectin-3 modulates the polarized surface delivery of β1-integrin in epithelial cells.
Hönig E, Ringer K, Dewes J, von Mach T, Kamm N, Kreitzer G, Jacob R
Journal of cell science 2018 Jun 11;131(11)
Journal of cell science 2018 Jun 11;131(11)
The Use of PET Imaging for Prognostic Integrin α(2)β(1) Phenotyping to Detect Non-Small Cell Lung Cancer and Monitor Drug Resistance Responses.
Huang CW, Hsieh WC, Hsu ST, Lin YW, Chung YH, Chang WC, Chiu H, Lin YH, Wu CP, Yen TC, Huang FT
Theranostics 2017;7(16):4013-4028
Theranostics 2017;7(16):4013-4028
Fibronectin in cell adhesion and migration via N-glycosylation.
Hsiao CT, Cheng HW, Huang CM, Li HR, Ou MH, Huang JR, Khoo KH, Yu HW, Chen YQ, Wang YK, Chiou A, Kuo JC
Oncotarget 2017 Sep 19;8(41):70653-70668
Oncotarget 2017 Sep 19;8(41):70653-70668
Synthesis and anti-metastatic effects of pregn-17(20)-en-3-amine derivatives.
Qin N, Jia M, Wu XR, Shou XA, Liu Q, Gan CC, Jin MN, Yu Y, Duan HQ
European journal of medicinal chemistry 2016 Nov 29;124:490-499
European journal of medicinal chemistry 2016 Nov 29;124:490-499
A small physiological electric field mediated responses of extravillous trophoblasts derived from HTR8/SVneo cells: involvement of activation of focal adhesion kinase signaling.
Zhang J, Ren R, Luo X, Fan P, Liu X, Liang S, Ma L, Yu P, Bai H
PloS one 2014;9(3):e92252
PloS one 2014;9(3):e92252
Evaluation of prognostic integrin α2β1 PET tracer and concurrent targeting delivery using focused ultrasound for brain glioma detection.
Chung YH, Hsu PH, Huang CW, Hsieh WC, Huang FT, Chang WC, Chiu H, Hsu ST, Yen TC
Molecular pharmaceutics 2014 Nov 3;11(11):3904-14
Molecular pharmaceutics 2014 Nov 3;11(11):3904-14
Calreticulin activates β1 integrin via fucosylation by fucosyltransferase 1 in J82 human bladder cancer cells.
Lu YC, Chen CN, Chu CY, Lu J, Wang BJ, Chen CH, Huang MC, Lin TH, Pan CC, Chen SS, Hsu WM, Liao YF, Wu PY, Hsia HY, Chang CC, Lee H
The Biochemical journal 2014 May 15;460(1):69-78
The Biochemical journal 2014 May 15;460(1):69-78
No comments: Submit comment
Supportive validation
- Submitted by
- GeneTex (provider)
- Main image

- Experimental details
- Integrin beta 1 / CD29 antibody detects Integrin beta 1 / CD29 protein by western blot analysis.A. 30 ?g A431 whole cell lysate/extract B. 30 ?g HeLa whole cell lysate/extract7.5% SDS-PAGEIntegrin beta 1 / CD29 antibody (GTX128839) dilution: 1:10000 The HRP-conjugated anti-rabbit IgG antibody (GTX213110-01) was used to detect the primary antibody.
- Submitted by
- GeneTex (provider)
- Main image

- Experimental details
- Integrin beta 1 / CD29 antibody detects Integrin beta 1 / CD29 protein by western blot analysis.A. 30 ?g U87-MG whole cell lysate/extractB. 30 ?g SK-N-SH whole cell lysate/extractC. 30 ?g IMR32 whole cell lysate/extractD. 30 ?g SK-N-AS whole cell lysate/extract7.5% SDS-PAGEIntegrin beta 1 / CD29 antibody (GTX128839) dilution: 1:10000 The HRP-conjugated anti-rabbit IgG antibody (GTX213110-01) was used to detect the primary antibody.
- Submitted by
- GeneTex (provider)
- Main image

- Experimental details
- Integrin beta 1 / CD29 antibody detects Integrin beta 1 / CD29 protein by western blot analysis.A. 30 ?g Neuro2A whole cell lysate/extractB. 30 ?g GL261 whole cell lysate/extractC. 30 ?g C8D30 whole cell lysate/extract7.5% SDS-PAGEIntegrin beta 1 / CD29 antibody (GTX128839) dilution: 1:5000 The HRP-conjugated anti-rabbit IgG antibody (GTX213110-01) was used to detect the primary antibody.
- Submitted by
- GeneTex (provider)
- Main image

- Experimental details
- Integrin beta 1 / CD29 antibody detects Integrin beta 1 / CD29 protein by western blot analysis.A. 30 ?g NIH-3T3 whole cell lysate/extractB. 30 ?g BCL-1 whole cell lysate/extractC. 30 ?g Raw264.7 whole cell lysate/extractD. 30 ?g C2C12 whole cell lysate/extract7.5% SDS-PAGEIntegrin beta 1 / CD29 antibody (GTX128839) dilution: 1:5000 The HRP-conjugated anti-rabbit IgG antibody (GTX213110-01) was used to detect the primary antibody.
- Submitted by
- GeneTex (provider)
- Main image

- Experimental details
- Integrin beta 1 / CD29 antibody detects Integrin beta 1 / CD29 protein by western blot analysis.A. 30 ?g PC-12 whole cell lysate/extractB. 30 ?g Rat-2 whole cell lysate/extract7.5% SDS-PAGEIntegrin beta 1 / CD29 antibody (GTX128839) dilution: 1:5000 The HRP-conjugated anti-rabbit IgG antibody (GTX213110-01) was used to detect the primary antibody.
- Submitted by
- GeneTex (provider)
- Main image

- Experimental details
- Wild-type (WT) and Integrin beta 1 / CD29 knockout (KO) HeLa cell extracts (30 ?g) were separated by 7.5% SDS-PAGE, and the membrane was blotted with Integrin beta 1 / CD29 antibody (GTX128839) diluted at 1:20000. The HRP-conjugated anti-rabbit IgG antibody (GTX213110-01) was used to detect the primary antibody, and the signal was developed with Trident ECL plus-Enhanced.
- Submitted by
- GeneTex (provider)
- Main image

- Experimental details
- Wild-type (WT) and Integrin beta 1 / CD29 knockout (KO) HeLa cell extracts (30 ?g) were separated by 7.5% SDS-PAGE, and the membrane was blotted with Integrin beta 1 / CD29 antibody (GTX128839) diluted at 1:20000. The HRP-conjugated anti-rabbit IgG antibody (GTX213110-01) was used to detect the primary antibody, and the signal was developed with Trident ECL plus-Enhanced.
- Submitted by
- GeneTex (provider)
- Main image

- Experimental details
- Various whole cell extracts (30 ?g) were separated by 5% SDS-PAGE, and the membrane was blotted with Integrin beta 1 / CD29 antibody (GTX128839) diluted at 1:10000.
Supportive validation
- Submitted by
- GeneTex (provider)
- Main image

- Experimental details
- Immunoprecipitation of Integrin beta 1 / CD29 protein from HeLa whole cell extracts using 5 £gg of Integrin beta 1 / CD29 antibody (GTX128839).Western blot analysis was performed using Integrin beta 1 / CD29 antibody (GTX128839).EasyBlot anti-Rabbit IgG (GTX221666-01) was used as a secondary reagent.
Supportive validation
- Submitted by
- GeneTex (provider)
- Main image

- Experimental details
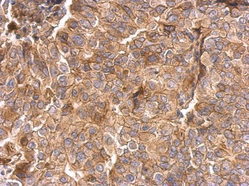
- Integrin beta 1 / CD29 antibody detects Integrin beta 1 / CD29 protein on breast cancer by immunohistochemical analysis. Sample: Paraffin-embedded breast cancer. Integrin beta 1 / CD29 antibody (GTX128839) dilution: 1:500.
- Submitted by
- GeneTex (provider)
- Main image

- Experimental details
- Integrin beta 1 / CD29 antibody detects Integrin beta 1 / CD29 protein on hepatoma by immunohistochemical analysis. Sample: Paraffin-embedded hepatoma. Integrin beta 1 / CD29 antibody (GTX128839) dilution: 1:500.