Antibody data
- Antibody Data
- Antigen structure
- References [0]
- Comments [0]
- Validations
- Western blot [3]
- Immunohistochemistry [9]
Submit
Validation data
Reference
Comment
Report error
- Product number
- NBP1-84873 - Provider product page

- Provider
- Novus Biologicals
- Proper citation
- Novus Cat#NBP1-84873, RRID:AB_11007810
- Product name
- Rabbit Polyclonal TRIP1 Antibody
- Antibody type
- Polyclonal
- Description
- Immunogen affinity purified. Specificity of human TRIP1 antibody verified on a Protein Array containing target protein plus 383 other non-specific proteins.
- Reactivity
- Human, Mouse, Rat
- Host
- Rabbit
- Isotype
- IgG
- Vial size
- 0.1 ml
- Storage
- Store at 4C short term. Aliquot and store at -20C long term. Avoid freeze-thaw cycles.
No comments: Submit comment
Supportive validation
- Submitted by
- Novus Biologicals (provider)
- Main image

- Experimental details
- Western Blot: TRIP1 Antibody [NBP1-84873] - Analysis in mouse cell line NIH-3T3 and rat cell line NBT-II.
- Submitted by
- Novus Biologicals (provider)
- Main image

- Experimental details
- Western Blot: TRIP1 Antibody [NBP1-84873] - Analysis using Anti-EIF3I antibody NBP1-84873 (A) shows similar pattern to independent antibody NBP1-84874 (B).
- Submitted by
- Novus Biologicals (provider)
- Main image

- Experimental details
- Western Blot: TRIP1 Antibody [NBP1-84873] - Analysis in U-251MG cells transfected with control siRNA, target specific siRNA probe #1 and #2,. Remaining relative intensity is presented. Loading control: Anti-PPIB.
Supportive validation
- Submitted by
- Novus Biologicals (provider)
- Main image

- Experimental details
- Immunohistochemistry-Paraffin: TRIP1 Antibody [NBP1-84873] - Staining of human cerebral cortex.
- Submitted by
- Novus Biologicals (provider)
- Main image

- Experimental details
- Immunohistochemistry-Paraffin: TRIP1 Antibody [NBP1-84873] - Staining of human testis.
- Submitted by
- Novus Biologicals (provider)
- Main image

- Experimental details
- Immunohistochemistry-Paraffin: TRIP1 Antibody [NBP1-84873] - Staining of human rectum.
- Submitted by
- Novus Biologicals (provider)
- Main image

- Experimental details
- Immunohistochemistry-Paraffin: TRIP1 Antibody [NBP1-84873] - Staining of human lymph node.
- Submitted by
- Novus Biologicals (provider)
- Main image

- Experimental details
- Immunohistochemistry-Paraffin: TRIP1 Antibody [NBP1-84873] - Staining of human cerebral cortex, endometrium, rectum and testis using Anti-EIF3I antibody (A) NBP1-84873 shows similar protein distribution across tissues to independent antibody NBP1-84874 (B).
- Submitted by
- Novus Biologicals (provider)
- Main image

- Experimental details
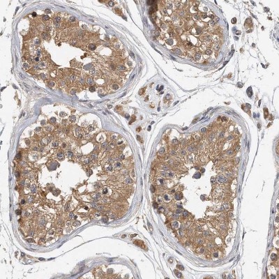
- Immunohistochemistry-Paraffin: TRIP1 Antibody [NBP1-84873] - Staining of human testis shows moderate cytoplasmic positivity in cells in seminiferous ducts.
- Submitted by
- Novus Biologicals (provider)
- Main image

- Experimental details
- Immunohistochemistry-Paraffin: TRIP1 Antibody [NBP1-84873] - Staining of human endometrium shows moderate cytoplasmic positivity in glandular cells.
- Submitted by
- Novus Biologicals (provider)
- Main image

- Experimental details
- Immunohistochemistry-Paraffin: TRIP1 Antibody [NBP1-84873] - Staining of human rectum shows strong cytoplasmic positivity in glandular cells.
- Submitted by
- Novus Biologicals (provider)
- Main image

- Experimental details
- Immunohistochemistry-Paraffin: TRIP1 Antibody [NBP1-84873] - Staining of human cerebral cortex strong cytoplasmic positivity in neurons.