Antibody data
- Antibody Data
- Antigen structure
- References [0]
- Comments [0]
- Validations
- Immunohistochemistry [1]
Submit
Validation data
Reference
Comment
Report error
- Product number
- 22107 - Provider product page

- Provider
- Signalway Antibody LLC
- Proper citation
- Signalway Cat#22107, RRID:AB_11121364
- Product name
- ZYG11BL antibody
- Antibody type
- Polyclonal
- Antigen
- Recombinant protein fragment contain a sequence corresponding to a region within amino acids 537 and 766 of Human ZER1
- Host
- Rabbit
- Conjugate
- Unconjugated
- Vial size
- 100µl
No comments: Submit comment
Supportive validation
- Submitted by
- Signalway Antibody LLC (provider)
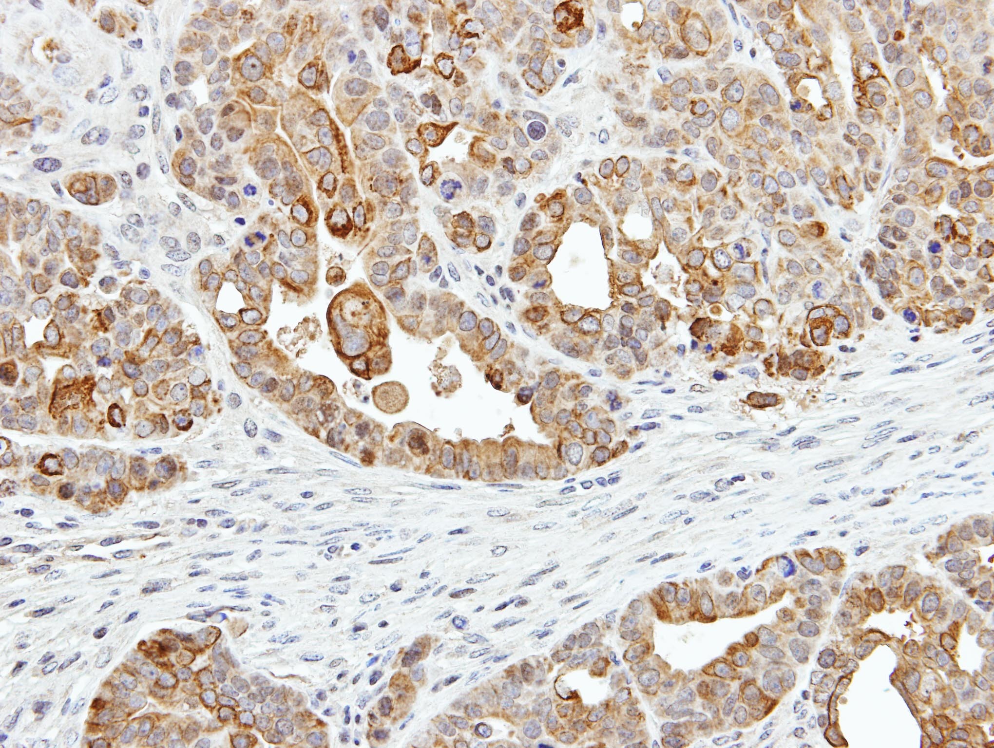
- Main image

- Experimental details
- Immunohistochemical analysis of paraffin-embedded NCI-N87 xenograft, using ZER1 antibody at 1: 500 dilution.