Antibody data
- Antibody Data
- Antigen structure
- References [0]
- Comments [0]
- Validations
- Western blot [1]
- Immunohistochemistry [2]
Submit
Validation data
Reference
Comment
Report error
- Product number
- LS-C198660 - Provider product page 
- Provider
- LSBio
- Product name
- AURKB / Aurora-B Antibody (phospho-Thr232) LS-C198660
- Antibody type
- Polyclonal
- Description
- Immunoaffinity purified
- Reactivity
- Human, Mouse, Rat
- Host
- Rabbit
- Isotype
- IgG
- Storage
- Store at -20°C.
				No comments: Submit comment	
	
			
							
					Enhanced validation
					
									
				
				- Submitted by
- LSBio (provider)
- Enhanced method
- Genetic validation
- Main image
 
- Experimental details
- Western blot analysis of lysates from COS7 cells treated with Nocodazole 1ug/ml 16h, using AurB (Phospho-Thr232) Antibody. The lane on the right is blocked with the phospho peptide.
							
					Supportive validation
					
									
				
		- Submitted by
- LSBio (provider)
- Enhanced method
- Genetic validation
- Main image
 
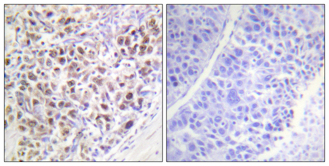
- Experimental details
- Immunohistochemistry analysis of paraffin-embedded human liver carcinoma, using AurB (Phospho-Thr232) Antibody. The picture on the right is blocked with the phospho peptide.
- Submitted by
- LSBio (provider)
- Enhanced method
- Genetic validation
- Main image
 
- Experimental details
- Immunohistochemistry analysis of paraffin-embedded human liver carcinoma, using AurB (Phospho-Thr232) Antibody. The picture on the right is blocked with the phospho peptide.