Antibody data
- Antibody Data
- Antigen structure
- References [0]
- Comments [0]
- Validations
- ELISA [1]
- Immunohistochemistry [1]
Submit
Validation data
Reference
Comment
Report error
- Product number
- H00007069-M01 - Provider product page

- Provider
- Novus Biologicals
- Proper citation
- Novus Cat#H00007069-M01, RRID:AB_1215503
- Product name
- Mouse Monoclonal THRSP Antibody
- Antibody type
- Monoclonal
- Description
- IgG purified. THRSP - thyroid hormone responsive (SPOT14 homolog, rat) (2F8)
- Reactivity
- Human
- Host
- Mouse
- Isotype
- IgG
- Vial size
- 0.1 mg
- Storage
- Aliquot and store at -20C or -80C. Avoid freeze-thaw cycles.
No comments: Submit comment
Supportive validation
- Submitted by
- Novus Biologicals (provider)
- Main image

- Experimental details
- Sandwich ELISA: THRSP Antibody (2F8) [H00007069-M01] - Detection limit for recombinant GST tagged THRSP is 0.3 ng/ml as a capture antibody.
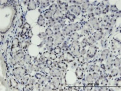
Supportive validation
- Submitted by
- Novus Biologicals (provider)
- Main image

- Experimental details
- Immunohistochemistry-Paraffin: THRSP Antibody (2F8) [H00007069-M01] - Analysis of monoclonal antibody to THRSP on formalin-fixed paraffin-embedded human salivary gland. Antibody concentration 3 ug/ml.