Antibody data
- Antibody Data
- Antigen structure
- References [4]
- Comments [0]
- Validations
- Western blot [1]
- Immunohistochemistry [1]
Submit
Validation data
Reference
Comment
Report error
- Product number
- PAB12306 - Provider product page

- Provider
- Abnova Corporation
- Proper citation
- Abnova Corporation Cat#PAB12306, RRID:AB_10551418
- Product name
- FGF8 polyclonal antibody
- Antibody type
- Polyclonal
- Description
- Rabbit polyclonal antibody raised against synthetic peptide of FGF8.
- Isotype
- IgG
- Storage
- Store at -20°C on dry atmosphere.After reconstitution with 200 uL of deionized water and concentration will be 500 ug/mL, store at -20°C or lower.Aliquot to avoid repeated freezing and thawing.
Submitted references CMV-induced pathology: pathway and gene-gene interaction analysis.
Fibroblast growth factor 8 is expressed at higher levels in lactating human breast and in breast cancer.
Genomic structure, sequence, and mapping of human FGF8 with no evidence for its role in craniosynostosis/limb defect syndromes.
Human androgen-induced growth factor in prostate and breast cancer cells: its molecular cloning and growth properties.
Melnick M, Deluca KA, Jaskoll T
Experimental and molecular pathology 2014 Aug;97(1):154-65
Experimental and molecular pathology 2014 Aug;97(1):154-65
Fibroblast growth factor 8 is expressed at higher levels in lactating human breast and in breast cancer.
Zammit C, Coope R, Gomm JJ, Shousha S, Johnston CL, Coombes RC
British journal of cancer 2002 Apr 8;86(7):1097-103
British journal of cancer 2002 Apr 8;86(7):1097-103
Genomic structure, sequence, and mapping of human FGF8 with no evidence for its role in craniosynostosis/limb defect syndromes.
Yoshiura K, Leysens NJ, Chang J, Ward D, Murray JC, Muenke M
American journal of medical genetics 1997 Oct 31;72(3):354-62
American journal of medical genetics 1997 Oct 31;72(3):354-62
Human androgen-induced growth factor in prostate and breast cancer cells: its molecular cloning and growth properties.
Tanaka A, Miyamoto K, Matsuo H, Matsumoto K, Yoshida H
FEBS letters 1995 Apr 24;363(3):226-30
FEBS letters 1995 Apr 24;363(3):226-30
No comments: Submit comment
Supportive validation
- Submitted by
- Abnova Corporation (provider)
- Main image

- Experimental details
- Western Blot analysis of FGF8 expression from MCF-7 cell lyate with FGF8 polyclonal antibody (Cat # PAB12306).
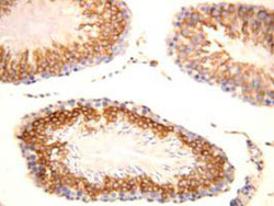
Supportive validation
- Submitted by
- Abnova Corporation (provider)
- Main image

- Experimental details
- Immunohistochemical staining of FGF8 on formalin fixed, paraffin embedded rat testicle with FGF8 polyclonal antibody (Cat # PAB12306).
- Validation comment
- Immunohistochemistry (Formalin/PFA-fixed paraffin-embedded sections)