Antibody data
- Antibody Data
- Antigen structure
- References [0]
- Comments [0]
- Validations
- Immunocytochemistry [1]
- Immunohistochemistry [1]
Submit
Validation data
Reference
Comment
Report error
- Product number
- GTX31999 - Provider product page

- Provider
- GeneTex
- Product name
- ZBTB8 antibody
- Antibody type
- Polyclonal
- Reactivity
- Human, Mouse
- Host
- Rabbit
No comments: Submit comment
Supportive validation
- Submitted by
- GeneTex (provider)
- Main image

- Experimental details
- Immunofluorescence ofZBTB8 in human spleen tissue with ZBTB8 antibody at 20 μg/mL.
Supportive validation
- Submitted by
- GeneTex (provider)
- Main image

- Experimental details
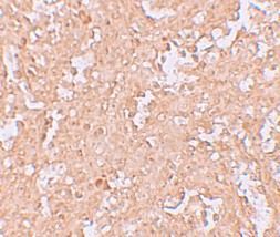
- Immunohistochemistry of ZBTB8 in human spleen tissue with ZBTB9 antibody at 2.5 μg/mL.