Antibody data
- Antibody Data
- Antigen structure
- References [71]
- Comments [0]
- Validations
- Western blot [1]
- Immunocytochemistry [1]
- Immunoprecipitation [1]
- Immunohistochemistry [2]
Submit
Validation data
Reference
Comment
Report error
- Product number
- 14711-1-AP - Provider product page

- Provider
- Proteintech Group
- Proper citation
- Proteintech Cat#14711-1-AP, RRID:AB_2143063
- Product name
- MGEA5 antibody
- Antibody type
- Polyclonal
- Description
- KD/KO validated MGEA5 antibody (Cat. #14711-1-AP) is a rabbit polyclonal antibody that shows reactivity with human, mouse, rat and has been validated for the following applications: IF, IHC, IP, WB, ELISA.
- Reactivity
- Human, Mouse, Rat
- Host
- Rabbit
- Conjugate
- Unconjugated
- Isotype
- IgG
- Vial size
- 20ul, 150ul
Submitted references TFE3-SLC36A1 axis promotes resistance to glucose starvation in kidney cancer cells.
O-GlcNAcylation of RBM14 contributes to elevated cellular O-GlcNAc through regulation of OGA protein stability.
Fibroblast-specific PRMT5 deficiency suppresses cardiac fibrosis and left ventricular dysfunction in male mice.
Caffeine-induced protein kinase A activation restores cognitive deficits induced by sleep deprivation by regulating O-GlcNAc cycling in adult zebrafish.
O-GlcNAcylation regulates the stability of transferrin receptor (TFRC) to control the ferroptosis in hepatocellular carcinoma cells.
O-GlcNAc modification of GSDMD attenuates LPS-induced endothelial cells pyroptosis.
Direct stimulation of de novo nucleotide synthesis by O-GlcNAcylation.
High glucose impairs cognitive function through inducing mitochondrial calcium overload in Treg cells.
7,8-Dihydroxyflavone ameliorates cognitive impairment induced by repeated neonatal sevoflurane exposures in mice through increasing tau O-GlcNAcylation.
O-GlcNAcylation mediates H(2)O(2)-induced apoptosis through regulation of STAT3 and FOXO1.
Protective effect of increased O-GlcNAc cycling against 6-OHDA induced Parkinson's disease pathology.
Cryo-EM structure of human O-GlcNAcylation enzyme pair OGT-OGA complex.
Sustained Increases in Cardiomyocyte Protein O-Linked β-N-Acetylglucosamine Levels Lead to Cardiac Hypertrophy and Reduced Mitochondrial Function Without Systolic Contractile Impairment.
O-GlcNAcylation determines the translational regulation and phase separation of YTHDF proteins.
Repeated sleep deprivation decreases the flux into hexosamine biosynthetic pathway/O-GlcNAc cycling and aggravates Alzheimer's disease neuropathology in adult zebrafish.
PKM2 allosteric converter: A self-assembly peptide for suppressing renal cell carcinoma and sensitizing chemotherapy.
Hyperglycemia Alters O-GlcNAcylation Patterns of Hepatocytes in Mice Treated With Hepatoxic Carcinogen.
Relationships between gene expression and behavior in mice in response to systemic modulation of the O-GlcNAcylation pathway.
Mechanisms of mineralocorticoid receptor-associated hypertension in diabetes mellitus: the role of O-GlcNAc modification.
O-linked N-acetylglucosamine affects mitochondrial homeostasis by regulating Parkin-dependent mitophagy in hyperoxia-injured alveolar type II cells injury.
Neuronal activity-driven O-GlcNAcylation promotes mitochondrial plasticity.
Sucrose solution, but not liquid sucrose diet, leads to leptin resistance irrespective of the time of day that sucrose is available.
ER Stress-Perturbed Intracellular Protein O-GlcNAcylation Aggravates Podocyte Injury in Diabetes Nephropathy.
Cognitive dysfunction and increased phosphorylated tau are associated with reduced O-GlcNAc signaling in an aging mouse model of metabolic syndrome.
Cancer-associated fibroblast-secreted glucosamine alters the androgen biosynthesis program in prostate cancer via HSD3B1 upregulation.
Deletion of Smooth Muscle O-GlcNAc Transferase Prevents Development of Atherosclerosis in Western Diet-Fed Hyperglycemic ApoE(-/-) Mice In Vivo.
NAT10 Maintains OGA mRNA Stability Through ac4C Modification in Regulating Oocyte Maturation.
Branched-chain amino acid catabolism breaks glutamine addiction to sustain hepatocellular carcinoma progression.
O-GlcNAc modification mediates aquaporin 3 to coordinate endometrial cell glycolysis and affects embryo implantation.
Acute inhibition of OGA sex-dependently alters the networks associated with bioenergetics, autophagy, and neurodegeneration.
Histone methyltransferase Dot1L recruits O-GlcNAc transferase to target chromatin sites to regulate histone O-GlcNAcylation.
MYC, mitochondrial metabolism and O-GlcNAcylation converge to modulate the activity and subcellular localization of DNA and RNA demethylases.
Dihydroartemisinin Induces O-GlcNAcylation and Improves Cognitive Function in a Mouse Model of Tauopathy.
DOT1L O-GlcNAcylation promotes its protein stability and MLL-fusion leukemia cell proliferation.
REM Sleep Deprivation Impairs Learning and Memory by Decreasing Brain O-GlcNAc Cycling in Mouse.
Repeated hypoxia exposure induces cognitive dysfunction, brain inflammation, and amyloidβ/p-Tau accumulation through reduced brain O-GlcNAcylation in zebrafish.
O‑GlcNAcylation contributes to intermittent hypoxia‑associated vascular dysfunction via modulation of MAPKs but not CaMKII pathways.
O-GlcNAcylation of TDP-43 suppresses proteinopathies and promotes TDP-43's mRNA splicing activity.
Quantitative chemoproteomics reveals O-GlcNAcylation of cystathionine γ-lyase (CSE) represses trophoblast syncytialization.
OGA is associated with deglycosylation of NONO and the KU complex during DNA damage repair.
Hypoxic acclimation improves cardiac redox homeostasis and protects heart against ischemia-reperfusion injury through upregulation of O-GlcNAcylation.
Traditional herbal formula Wu-Mei-Wan alleviates TNBS-induced colitis in mice by inhibiting necroptosis through increasing RIPK3 O-GlcNAcylation.
Sleep deprivation impairs learning and memory by decreasing protein O-GlcNAcylation in the brain of adult zebrafish.
Disruption of retinoid homeostasis induces RBP4 overproduction in diabetes: O-GlcNAcylation involved.
Elevated O-GlcNAcylation induces an antidepressant-like phenotype and decreased inhibitory transmission in medial prefrontal cortex.
Reduced O-GlcNAcylation and tubular hypoxia contribute to the antifibrotic effect of SGLT2 inhibitor dapagliflozin in the diabetic kidney.
Modulation of O-GlcNAcylation Regulates Autophagy in Cortical Astrocytes.
O‑GlcNAc modification influences endometrial receptivity by promoting endometrial cell proliferation, migration and invasion.
Glucosamine improves survival in a mouse model of sepsis and attenuates sepsis-induced lung injury and inflammation.
O-GlcNAc transferase missense mutations linked to X-linked intellectual disability deregulate genes involved in cell fate determination and signaling.
High O-linked N-acetylglucosamine transferase expression predicts poor survival in patients with early stage lung adenocarcinoma.
Source of dietary sucrose influences development of leptin resistance in male and female rats.
Identification and characterization of a missense mutation in the O-linked β-N-acetylglucosamine (O-GlcNAc) transferase gene that segregates with X-linked intellectual disability.
Mutations in N-acetylglucosamine (O-GlcNAc) transferase in patients with X-linked intellectual disability.
Aberrant Glycosylation in the Left Ventricle and Plasma of Rats with Cardiac Hypertrophy and Heart Failure.
Differential membranous E-cadherin expression, cell proliferation and O-GlcNAcylation between primary and metastatic nodal lesion in colorectal cancer.
Role of O-linked N-acetylglucosamine modification in diabetic nephropathy.
Removal of O-GlcNAcylation is important for pig preimplantation development.
mTOR/MYC Axis Regulates O-GlcNAc Transferase Expression and O-GlcNAcylation in Breast Cancer.
In vivo and in vitro evidence that chronic activation of the hexosamine biosynthetic pathway interferes with leptin-dependent STAT3 phosphorylation.
Conditional knock-out reveals a requirement for O-linked N-Acetylglucosaminase (O-GlcNAcase) in metabolic homeostasis.
Alterations in left ventricular function during intermittent hypoxia: Possible involvement of O-GlcNAc protein and MAPK signaling.
Hexosamine biosynthetic pathway activity in leptin resistant sucrose-drinking rats.
O-GlcNAc modification of the runt-related transcription factor 2 (Runx2) links osteogenesis and nutrient metabolism in bone marrow mesenchymal stem cells.
O-GlcNAc reports ambient temperature and confers heat resistance on ectotherm development.
Hyper-O-GlcNAcylation is anti-apoptotic and maintains constitutive NF-κB activity in pancreatic cancer cells.
Epigenetic switching by the metabolism-sensing factors in the generation of orexin neurons from mouse embryonic stem cells.
Identification of O-linked N-acetylglucosamine (O-GlcNAc)-modified osteoblast proteins by electron transfer dissociation tandem mass spectrometry reveals proteins critical for bone formation.
O-GlcNAcylation plays a role in tumor recurrence of hepatocellular carcinoma following liver transplantation.
Polycomb repressive complex 2 is necessary for the normal site-specific O-GlcNAc distribution in mouse embryonic stem cells.
A lipid-droplet-targeted O-GlcNAcase isoform is a key regulator of the proteasome.
Lv S, Zhang Z, Li Z, Ke Q, Ma X, Li N, Zhao X, Zou Q, Sun L, Song T
The Journal of biological chemistry 2024 May;300(5):107270
The Journal of biological chemistry 2024 May;300(5):107270
O-GlcNAcylation of RBM14 contributes to elevated cellular O-GlcNAc through regulation of OGA protein stability.
Kweon TH, Jung H, Ko JY, Kang J, Kim W, Kim Y, Kim HB, Yi EC, Ku NO, Cho JW, Yang WH
Cell reports 2024 May 28;43(5):114163
Cell reports 2024 May 28;43(5):114163
Fibroblast-specific PRMT5 deficiency suppresses cardiac fibrosis and left ventricular dysfunction in male mice.
Katanasaka Y, Yabe H, Murata N, Sobukawa M, Sugiyama Y, Sato H, Honda H, Sunagawa Y, Funamoto M, Shimizu S, Shimizu K, Hamabe-Horiike T, Hawke P, Komiyama M, Mori K, Hasegawa K, Morimoto T
Nature communications 2024 Mar 19;15(1):2472
Nature communications 2024 Mar 19;15(1):2472
Caffeine-induced protein kinase A activation restores cognitive deficits induced by sleep deprivation by regulating O-GlcNAc cycling in adult zebrafish.
Tran TT, Park J, Kim DY, Han IO
American journal of physiology. Cell physiology 2024 Mar 1;326(3):C978-C989
American journal of physiology. Cell physiology 2024 Mar 1;326(3):C978-C989
O-GlcNAcylation regulates the stability of transferrin receptor (TFRC) to control the ferroptosis in hepatocellular carcinoma cells.
Zhou X, Wang Y, Li X, Zhou J, Yang W, Wang X, Jiao S, Zuo W, You Z, Ying W, Wu C, Bao J
Redox biology 2024 Jul;73:103182
Redox biology 2024 Jul;73:103182
O-GlcNAc modification of GSDMD attenuates LPS-induced endothelial cells pyroptosis.
Yu F, Zhang Z, Leng Y, Chen AF
Inflammation research : official journal of the European Histamine Research Society ... [et al.] 2024 Jan;73(1):5-17
Inflammation research : official journal of the European Histamine Research Society ... [et al.] 2024 Jan;73(1):5-17
Direct stimulation of de novo nucleotide synthesis by O-GlcNAcylation.
Chen L, Zhou Q, Zhang P, Tan W, Li Y, Xu Z, Ma J, Kupfer GM, Pei Y, Song Q, Pei H
Nature chemical biology 2024 Jan;20(1):19-29
Nature chemical biology 2024 Jan;20(1):19-29
High glucose impairs cognitive function through inducing mitochondrial calcium overload in Treg cells.
Hui Y, Kuang L, Zhong Y, Tang Y, Xu Z, Zheng T
iScience 2024 Jan 19;27(1):108689
iScience 2024 Jan 19;27(1):108689
7,8-Dihydroxyflavone ameliorates cognitive impairment induced by repeated neonatal sevoflurane exposures in mice through increasing tau O-GlcNAcylation.
Xu M, Xia L, Li J, Du Y, Dong Z
Neuroscience letters 2024 Jan 1;818:137559
Neuroscience letters 2024 Jan 1;818:137559
O-GlcNAcylation mediates H(2)O(2)-induced apoptosis through regulation of STAT3 and FOXO1.
Zhang CC, Li Y, Jiang CY, Le QM, Liu X, Ma L, Wang FF
Acta pharmacologica Sinica 2024 Apr;45(4):714-727
Acta pharmacologica Sinica 2024 Apr;45(4):714-727
Protective effect of increased O-GlcNAc cycling against 6-OHDA induced Parkinson's disease pathology.
Kim DY, Kim SM, Cho EJ, Kwak HB, Han IO
Cell death & disease 2024 Apr 23;15(4):287
Cell death & disease 2024 Apr 23;15(4):287
Cryo-EM structure of human O-GlcNAcylation enzyme pair OGT-OGA complex.
Lu P, Liu Y, He M, Cao T, Yang M, Qi S, Yu H, Gao H
Nature communications 2023 Oct 31;14(1):6952
Nature communications 2023 Oct 31;14(1):6952
Sustained Increases in Cardiomyocyte Protein O-Linked β-N-Acetylglucosamine Levels Lead to Cardiac Hypertrophy and Reduced Mitochondrial Function Without Systolic Contractile Impairment.
Ha CM, Bakshi S, Brahma MK, Potter LA, Chang SF, Sun Z, Benavides GA, He L, Umbarkar P, Zou L, Curfman S, Sunny S, Paterson AJ, Rajasekaran NS, Barnes JW, Zhang J, Lal H, Xie M, Darley-Usmar VM, Chatham JC, Wende AR
Journal of the American Heart Association 2023 Oct 3;12(19):e029898
Journal of the American Heart Association 2023 Oct 3;12(19):e029898
O-GlcNAcylation determines the translational regulation and phase separation of YTHDF proteins.
Chen Y, Wan R, Zou Z, Lao L, Shao G, Zheng Y, Tang L, Yuan Y, Ge Y, He C, Lin S
Nature cell biology 2023 Nov;25(11):1676-1690
Nature cell biology 2023 Nov;25(11):1676-1690
Repeated sleep deprivation decreases the flux into hexosamine biosynthetic pathway/O-GlcNAc cycling and aggravates Alzheimer's disease neuropathology in adult zebrafish.
Park J, Kim DY, Hwang GS, Han IO
Journal of neuroinflammation 2023 Nov 9;20(1):257
Journal of neuroinflammation 2023 Nov 9;20(1):257
PKM2 allosteric converter: A self-assembly peptide for suppressing renal cell carcinoma and sensitizing chemotherapy.
Wang L, Fu B, Hou DY, Lv YL, Yang G, Li C, Shen JC, Kong B, Zheng LB, Qiu Y, Wang HL, Liu C, Zhang JJ, Bai SY, Li LL, Wang H, Xu WH
Biomaterials 2023 May;296:122060
Biomaterials 2023 May;296:122060
Hyperglycemia Alters O-GlcNAcylation Patterns of Hepatocytes in Mice Treated With Hepatoxic Carcinogen.
Chomphoo S, Kunprom W, Thithuan K, Sorin S, Khawkhiaw K, Kamkaew A, Phoomak C, Chiu CF, Saengboonmee C
In vivo (Athens, Greece) 2023 Mar-Apr;37(2):685-695
In vivo (Athens, Greece) 2023 Mar-Apr;37(2):685-695
Relationships between gene expression and behavior in mice in response to systemic modulation of the O-GlcNAcylation pathway.
Bell MB, Ouyang X, Shelton AK, Huynh NV, Mueller T, Chacko BK, Jegga AG, Chatham JC, Miller CR, Darley-Usmar V, Zhang J
Journal of neurochemistry 2023 Jun;165(5):682-700
Journal of neurochemistry 2023 Jun;165(5):682-700
Mechanisms of mineralocorticoid receptor-associated hypertension in diabetes mellitus: the role of O-GlcNAc modification.
Jo R, Shibata H, Kurihara I, Yokota K, Kobayashi S, Murai-Takeda A, Mitsuishi Y, Hayashi T, Nakamura T, Itoh H
Hypertension research : official journal of the Japanese Society of Hypertension 2023 Jan;46(1):19-31
Hypertension research : official journal of the Japanese Society of Hypertension 2023 Jan;46(1):19-31
O-linked N-acetylglucosamine affects mitochondrial homeostasis by regulating Parkin-dependent mitophagy in hyperoxia-injured alveolar type II cells injury.
Xuefei Y, Dongyan L, Tianming L, Hejuan Z, Jianhua F
Respiratory research 2023 Jan 16;24(1):16
Respiratory research 2023 Jan 16;24(1):16
Neuronal activity-driven O-GlcNAcylation promotes mitochondrial plasticity.
Yu SB, Sanchez RG, Papich ZD, Whisenant TC, Ghassemian M, Koberstein JN, Stewart ML, Pekkurnaz G
bioRxiv : the preprint server for biology 2023 Jan 11;
bioRxiv : the preprint server for biology 2023 Jan 11;
Sucrose solution, but not liquid sucrose diet, leads to leptin resistance irrespective of the time of day that sucrose is available.
Harris RBS
Physiology & behavior 2023 Jan 1;258:114002
Physiology & behavior 2023 Jan 1;258:114002
ER Stress-Perturbed Intracellular Protein O-GlcNAcylation Aggravates Podocyte Injury in Diabetes Nephropathy.
Song S, Hu T, Shi X, Jin Y, Liu S, Li X, Zou W, Wang C
International journal of molecular sciences 2023 Dec 18;24(24)
International journal of molecular sciences 2023 Dec 18;24(24)
Cognitive dysfunction and increased phosphorylated tau are associated with reduced O-GlcNAc signaling in an aging mouse model of metabolic syndrome.
Gupta S, Jinka SKA, Khanal S, Bhavnani N, Almashhori F, Lallo J, Mathias A, Al-Rhayyel Y, Herman D, Holden JG, Fleming SM, Raman P
Journal of neuroscience research 2023 Aug;101(8):1324-1344
Journal of neuroscience research 2023 Aug;101(8):1324-1344
Cancer-associated fibroblast-secreted glucosamine alters the androgen biosynthesis program in prostate cancer via HSD3B1 upregulation.
Cui D, Li J, Zhu Z, Berk M, Hardaway A, McManus J, Chung YM, Alyamani M, Valle S, Tiwari R, Han B, Goudarzi M, Willard B, Sharifi N
The Journal of clinical investigation 2023 Apr 3;133(7)
The Journal of clinical investigation 2023 Apr 3;133(7)
Deletion of Smooth Muscle O-GlcNAc Transferase Prevents Development of Atherosclerosis in Western Diet-Fed Hyperglycemic ApoE(-/-) Mice In Vivo.
Khanal S, Bhavnani N, Mathias A, Lallo J, Gupta S, Ohanyan V, Ferrell JM, Raman P
International journal of molecular sciences 2023 Apr 26;24(9)
International journal of molecular sciences 2023 Apr 26;24(9)
NAT10 Maintains OGA mRNA Stability Through ac4C Modification in Regulating Oocyte Maturation.
Lin J, Xiang Y, Huang J, Zeng H, Zeng Y, Liu J, Wu T, Liang Q, Liang X, Li J, Zhou C
Frontiers in endocrinology 2022;13:907286
Frontiers in endocrinology 2022;13:907286
Branched-chain amino acid catabolism breaks glutamine addiction to sustain hepatocellular carcinoma progression.
Yang D, Liu H, Cai Y, Lu K, Zhong X, Xing S, Song W, Zhang Y, Ye L, Zhu X, Wang T, Zhang P, Li ST, Feng J, Jia W, Zhang H, Gao P
Cell reports 2022 Nov 22;41(8):111691
Cell reports 2022 Nov 22;41(8):111691
O-GlcNAc modification mediates aquaporin 3 to coordinate endometrial cell glycolysis and affects embryo implantation.
Zhang H, Qi J, Pei J, Zhang M, Shang Y, Li Z, Wang Y, Guo J, Sun K, Fan J, Sui L, Xu Y, Kong L, Kong Y
Journal of advanced research 2022 Mar;37:119-131
Journal of advanced research 2022 Mar;37:119-131
Acute inhibition of OGA sex-dependently alters the networks associated with bioenergetics, autophagy, and neurodegeneration.
Huynh VN, Benavides GA, Johnson MS, Ouyang X, Chacko BK, Osuma E, Mueller T, Chatham J, Darley-Usmar VM, Zhang J
Molecular brain 2022 Mar 5;15(1):22
Molecular brain 2022 Mar 5;15(1):22
Histone methyltransferase Dot1L recruits O-GlcNAc transferase to target chromatin sites to regulate histone O-GlcNAcylation.
Xu B, Zhang C, Jiang A, Zhang X, Liang F, Wang X, Li D, Liu C, Liu X, Xia J, Li Y, Wang Y, Yang Z, Chen J, Zhou Y, Chen L, Sun H
The Journal of biological chemistry 2022 Jul;298(7):102115
The Journal of biological chemistry 2022 Jul;298(7):102115
MYC, mitochondrial metabolism and O-GlcNAcylation converge to modulate the activity and subcellular localization of DNA and RNA demethylases.
Lin AP, Qiu Z, Ethiraj P, Sasi B, Jaafar C, Rakheja D, Aguiar RCT
Leukemia 2022 Apr;36(4):1150-1159
Leukemia 2022 Apr;36(4):1150-1159
Dihydroartemisinin Induces O-GlcNAcylation and Improves Cognitive Function in a Mouse Model of Tauopathy.
Xia L, Pang Y, Li J, Wu B, Du Y, Chen Y, Luo M, Wang Y, Dong Z
Journal of Alzheimer's disease : JAD 2021;84(1):239-248
Journal of Alzheimer's disease : JAD 2021;84(1):239-248
DOT1L O-GlcNAcylation promotes its protein stability and MLL-fusion leukemia cell proliferation.
Song T, Zou Q, Yan Y, Lv S, Li N, Zhao X, Ma X, Liu H, Tang B, Sun L
Cell reports 2021 Sep 21;36(12):109739
Cell reports 2021 Sep 21;36(12):109739
REM Sleep Deprivation Impairs Learning and Memory by Decreasing Brain O-GlcNAc Cycling in Mouse.
Kim SM, Zhang S, Park J, Sung HJ, Tran TT, Chung C, Han IO
Neurotherapeutics : the journal of the American Society for Experimental NeuroTherapeutics 2021 Oct;18(4):2504-2517
Neurotherapeutics : the journal of the American Society for Experimental NeuroTherapeutics 2021 Oct;18(4):2504-2517
Repeated hypoxia exposure induces cognitive dysfunction, brain inflammation, and amyloidβ/p-Tau accumulation through reduced brain O-GlcNAcylation in zebrafish.
Park J, Jung S, Kim SM, Park IY, Bui NA, Hwang GS, Han IO
Journal of cerebral blood flow and metabolism : official journal of the International Society of Cerebral Blood Flow and Metabolism 2021 Nov;41(11):3111-3126
Journal of cerebral blood flow and metabolism : official journal of the International Society of Cerebral Blood Flow and Metabolism 2021 Nov;41(11):3111-3126
O‑GlcNAcylation contributes to intermittent hypoxia‑associated vascular dysfunction via modulation of MAPKs but not CaMKII pathways.
Guo X, Deng Y, Zhan L, Shang J, Liu H
Molecular medicine reports 2021 Nov;24(5)
Molecular medicine reports 2021 Nov;24(5)
O-GlcNAcylation of TDP-43 suppresses proteinopathies and promotes TDP-43's mRNA splicing activity.
Zhao MJ, Yao X, Wei P, Zhao C, Cheng M, Zhang D, Xue W, He WT, Xue W, Zuo X, Jiang LL, Luo Z, Song J, Shu WJ, Yuan HY, Liang Y, Sun H, Zhou Y, Zhou Y, Zheng L, Hu HY, Wang J, Du HN
EMBO reports 2021 Jun 4;22(6):e51649
EMBO reports 2021 Jun 4;22(6):e51649
Quantitative chemoproteomics reveals O-GlcNAcylation of cystathionine γ-lyase (CSE) represses trophoblast syncytialization.
Liu J, Shao X, Qin W, Zhang Y, Dang F, Yang Q, Yu X, Li YX, Chen X, Wang C, Wang YL
Cell chemical biology 2021 Jun 17;28(6):788-801.e5
Cell chemical biology 2021 Jun 17;28(6):788-801.e5
OGA is associated with deglycosylation of NONO and the KU complex during DNA damage repair.
Cui Y, Xie R, Zhang X, Liu Y, Hu Y, Li Y, Liu X, Yu X, Wu C
Cell death & disease 2021 Jun 16;12(7):622
Cell death & disease 2021 Jun 16;12(7):622
Hypoxic acclimation improves cardiac redox homeostasis and protects heart against ischemia-reperfusion injury through upregulation of O-GlcNAcylation.
Ou W, Liang Y, Qin Y, Wu W, Xie M, Zhang Y, Zhang Y, Ji L, Yu H, Li T
Redox biology 2021 Jul;43:101994
Redox biology 2021 Jul;43:101994
Traditional herbal formula Wu-Mei-Wan alleviates TNBS-induced colitis in mice by inhibiting necroptosis through increasing RIPK3 O-GlcNAcylation.
Wu F, Shao Q, Cheng Z, Xiong X, Fang K, Zhao Y, Dong R, Xu L, Lu F, Chen G
Chinese medicine 2021 Aug 16;16(1):78
Chinese medicine 2021 Aug 16;16(1):78
Sleep deprivation impairs learning and memory by decreasing protein O-GlcNAcylation in the brain of adult zebrafish.
Lee Y, Park J, Kim SM, Nam K, Lee W, Cho H, Han IO
FASEB journal : official publication of the Federation of American Societies for Experimental Biology 2020 Jan;34(1):853-864
FASEB journal : official publication of the Federation of American Societies for Experimental Biology 2020 Jan;34(1):853-864
Disruption of retinoid homeostasis induces RBP4 overproduction in diabetes: O-GlcNAcylation involved.
Shin SJ, Chen CH, Kuo WC, Chan HC, Chan HC, Lin KD, Ke LY
Metabolism: clinical and experimental 2020 Dec;113:154403
Metabolism: clinical and experimental 2020 Dec;113:154403
Elevated O-GlcNAcylation induces an antidepressant-like phenotype and decreased inhibitory transmission in medial prefrontal cortex.
Cho Y, Hwang H, Rahman MA, Chung C, Rhim H
Scientific reports 2020 Apr 24;10(1):6924
Scientific reports 2020 Apr 24;10(1):6924
Reduced O-GlcNAcylation and tubular hypoxia contribute to the antifibrotic effect of SGLT2 inhibitor dapagliflozin in the diabetic kidney.
Hodrea J, Balogh DB, Hosszu A, Lenart L, Besztercei B, Koszegi S, Sparding N, Genovese F, Wagner LJ, Szabo AJ, Fekete A
American journal of physiology. Renal physiology 2020 Apr 1;318(4):F1017-F1029
American journal of physiology. Renal physiology 2020 Apr 1;318(4):F1017-F1029
Modulation of O-GlcNAcylation Regulates Autophagy in Cortical Astrocytes.
Rahman MA, Hwang H, Cho Y, Rhim H
Oxidative medicine and cellular longevity 2019;2019:6279313
Oxidative medicine and cellular longevity 2019;2019:6279313
O‑GlcNAc modification influences endometrial receptivity by promoting endometrial cell proliferation, migration and invasion.
Han X, Li X, Liu H, Zhang H, Li A, Dong M, Xu Y, Yan B, Sui L, Kong Y
Oncology reports 2019 Nov;42(5):2065-2074
Oncology reports 2019 Nov;42(5):2065-2074
Glucosamine improves survival in a mouse model of sepsis and attenuates sepsis-induced lung injury and inflammation.
Hwang JS, Kim KH, Park J, Kim SM, Cho H, Lee Y, Han IO
The Journal of biological chemistry 2019 Jan 11;294(2):608-622
The Journal of biological chemistry 2019 Jan 11;294(2):608-622
O-GlcNAc transferase missense mutations linked to X-linked intellectual disability deregulate genes involved in cell fate determination and signaling.
Selvan N, George S, Serajee FJ, Shaw M, Hobson L, Kalscheuer V, Prasad N, Levy SE, Taylor J, Aftimos S, Schwartz CE, Huq AM, Gecz J, Wells L
The Journal of biological chemistry 2018 Jul 6;293(27):10810-10824
The Journal of biological chemistry 2018 Jul 6;293(27):10810-10824
High O-linked N-acetylglucosamine transferase expression predicts poor survival in patients with early stage lung adenocarcinoma.
Lin YC, Lin CH, Yeh YC, Ho HL, Wu YC, Chen MY, Chou TY
Oncotarget 2018 Jul 24;9(57):31032-31044
Oncotarget 2018 Jul 24;9(57):31032-31044
Source of dietary sucrose influences development of leptin resistance in male and female rats.
Harris RBS
American journal of physiology. Regulatory, integrative and comparative physiology 2018 Apr 1;314(4):R598-R610
American journal of physiology. Regulatory, integrative and comparative physiology 2018 Apr 1;314(4):R598-R610
Identification and characterization of a missense mutation in the O-linked β-N-acetylglucosamine (O-GlcNAc) transferase gene that segregates with X-linked intellectual disability.
Vaidyanathan K, Niranjan T, Selvan N, Teo CF, May M, Patel S, Weatherly B, Skinner C, Opitz J, Carey J, Viskochil D, Gecz J, Shaw M, Peng Y, Alexov E, Wang T, Schwartz C, Wells L
The Journal of biological chemistry 2017 May 26;292(21):8948-8963
The Journal of biological chemistry 2017 May 26;292(21):8948-8963
Mutations in N-acetylglucosamine (O-GlcNAc) transferase in patients with X-linked intellectual disability.
Willems AP, Gundogdu M, Kempers MJE, Giltay JC, Pfundt R, Elferink M, Loza BF, Fuijkschot J, Ferenbach AT, van Gassen KLI, van Aalten DMF, Lefeber DJ
The Journal of biological chemistry 2017 Jul 28;292(30):12621-12631
The Journal of biological chemistry 2017 Jul 28;292(30):12621-12631
Aberrant Glycosylation in the Left Ventricle and Plasma of Rats with Cardiac Hypertrophy and Heart Failure.
Nagai-Okatani C, Minamino N
PloS one 2016;11(6):e0150210
PloS one 2016;11(6):e0150210
Differential membranous E-cadherin expression, cell proliferation and O-GlcNAcylation between primary and metastatic nodal lesion in colorectal cancer.
Jang TJ
Pathology, research and practice 2016 Feb;212(2):113-9
Pathology, research and practice 2016 Feb;212(2):113-9
Role of O-linked N-acetylglucosamine modification in diabetic nephropathy.
Gellai R, Hodrea J, Lenart L, Hosszu A, Koszegi S, Balogh D, Ver A, Banki NF, Fulop N, Molnar A, Wagner L, Vannay A, Szabo AJ, Fekete A
American journal of physiology. Renal physiology 2016 Dec 1;311(6):F1172-F1181
American journal of physiology. Renal physiology 2016 Dec 1;311(6):F1172-F1181
Removal of O-GlcNAcylation is important for pig preimplantation development.
Shibutani M, Mori T, Miyano T, Miyake M
The Journal of reproduction and development 2015;61(4):341-50
The Journal of reproduction and development 2015;61(4):341-50
mTOR/MYC Axis Regulates O-GlcNAc Transferase Expression and O-GlcNAcylation in Breast Cancer.
Sodi VL, Khaku S, Krutilina R, Schwab LP, Vocadlo DJ, Seagroves TN, Reginato MJ
Molecular cancer research : MCR 2015 May;13(5):923-33
Molecular cancer research : MCR 2015 May;13(5):923-33
In vivo and in vitro evidence that chronic activation of the hexosamine biosynthetic pathway interferes with leptin-dependent STAT3 phosphorylation.
Zimmerman AD, Harris RB
American journal of physiology. Regulatory, integrative and comparative physiology 2015 Mar 15;308(6):R543-55
American journal of physiology. Regulatory, integrative and comparative physiology 2015 Mar 15;308(6):R543-55
Conditional knock-out reveals a requirement for O-linked N-Acetylglucosaminase (O-GlcNAcase) in metabolic homeostasis.
Keembiyehetty C, Love DC, Harwood KR, Gavrilova O, Comly ME, Hanover JA
The Journal of biological chemistry 2015 Mar 13;290(11):7097-113
The Journal of biological chemistry 2015 Mar 13;290(11):7097-113
Alterations in left ventricular function during intermittent hypoxia: Possible involvement of O-GlcNAc protein and MAPK signaling.
Guo X, Shang J, Deng Y, Yuan X, Zhu D, Liu H
International journal of molecular medicine 2015 Jul;36(1):150-8
International journal of molecular medicine 2015 Jul;36(1):150-8
Hexosamine biosynthetic pathway activity in leptin resistant sucrose-drinking rats.
Harris RB, Apolzan JW
Physiology & behavior 2015 Jan;138:208-18
Physiology & behavior 2015 Jan;138:208-18
O-GlcNAc modification of the runt-related transcription factor 2 (Runx2) links osteogenesis and nutrient metabolism in bone marrow mesenchymal stem cells.
Nagel AK, Ball LE
Molecular & cellular proteomics : MCP 2014 Dec;13(12):3381-95
Molecular & cellular proteomics : MCP 2014 Dec;13(12):3381-95
O-GlcNAc reports ambient temperature and confers heat resistance on ectotherm development.
Radermacher PT, Myachina F, Bosshardt F, Pandey R, Mariappa D, Müller HA, Lehner CF
Proceedings of the National Academy of Sciences of the United States of America 2014 Apr 15;111(15):5592-7
Proceedings of the National Academy of Sciences of the United States of America 2014 Apr 15;111(15):5592-7
Hyper-O-GlcNAcylation is anti-apoptotic and maintains constitutive NF-κB activity in pancreatic cancer cells.
Ma Z, Vocadlo DJ, Vosseller K
The Journal of biological chemistry 2013 May 24;288(21):15121-30
The Journal of biological chemistry 2013 May 24;288(21):15121-30
Epigenetic switching by the metabolism-sensing factors in the generation of orexin neurons from mouse embryonic stem cells.
Hayakawa K, Hirosawa M, Tabei Y, Arai D, Tanaka S, Murakami N, Yagi S, Shiota K
The Journal of biological chemistry 2013 Jun 14;288(24):17099-110
The Journal of biological chemistry 2013 Jun 14;288(24):17099-110
Identification of O-linked N-acetylglucosamine (O-GlcNAc)-modified osteoblast proteins by electron transfer dissociation tandem mass spectrometry reveals proteins critical for bone formation.
Nagel AK, Schilling M, Comte-Walters S, Berkaw MN, Ball LE
Molecular & cellular proteomics : MCP 2013 Apr;12(4):945-55
Molecular & cellular proteomics : MCP 2013 Apr;12(4):945-55
O-GlcNAcylation plays a role in tumor recurrence of hepatocellular carcinoma following liver transplantation.
Zhu Q, Zhou L, Yang Z, Lai M, Xie H, Wu L, Xing C, Zhang F, Zheng S
Medical oncology (Northwood, London, England) 2012 Jun;29(2):985-93
Medical oncology (Northwood, London, England) 2012 Jun;29(2):985-93
Polycomb repressive complex 2 is necessary for the normal site-specific O-GlcNAc distribution in mouse embryonic stem cells.
Myers SA, Panning B, Burlingame AL
Proceedings of the National Academy of Sciences of the United States of America 2011 Jun 7;108(23):9490-5
Proceedings of the National Academy of Sciences of the United States of America 2011 Jun 7;108(23):9490-5
A lipid-droplet-targeted O-GlcNAcase isoform is a key regulator of the proteasome.
Keembiyehetty CN, Krzeslak A, Love DC, Hanover JA
Journal of cell science 2011 Aug 15;124(Pt 16):2851-60
Journal of cell science 2011 Aug 15;124(Pt 16):2851-60
No comments: Submit comment
Supportive validation
- Submitted by
- Proteintech Group (provider)
- Main image

- Experimental details
- human brain tissue were subjected to SDS PAGE followed by western blot with 14711-1-AP(MGEA5 antibody) at dilution of 1:500
- Sample type
- tissue
Supportive validation
- Submitted by
- Proteintech Group (provider)
- Main image

- Experimental details
- Immunofluorescent analysis of Hela cells, using MGEA5 antibody 14711-1-AP at 1:50 dilution and Rhodamine-labeled goat anti-rabbit IgG (red). Blue pseudocolor = DAPI (fluorescent DNA dye).
- Sample type
- cell line
Supportive validation
- Submitted by
- Proteintech Group (provider)
- Main image

- Experimental details
- IP Result of anti-MGEA5 (IP:14711-1-AP, 3ug; Detection:14711-1-AP 1:500) with SH-SY5Y cells lysate 2900ug.
- Sample type
- cell line
Supportive validation
- Submitted by
- Proteintech Group (provider)
- Main image

- Experimental details
- Immunohistochemical of paraffin-embedded human endometrial cancer using 14711-1-AP(MGEA5 antibody) at dilution of 1:100 (under 10x lens)
- Sample type
- tissue
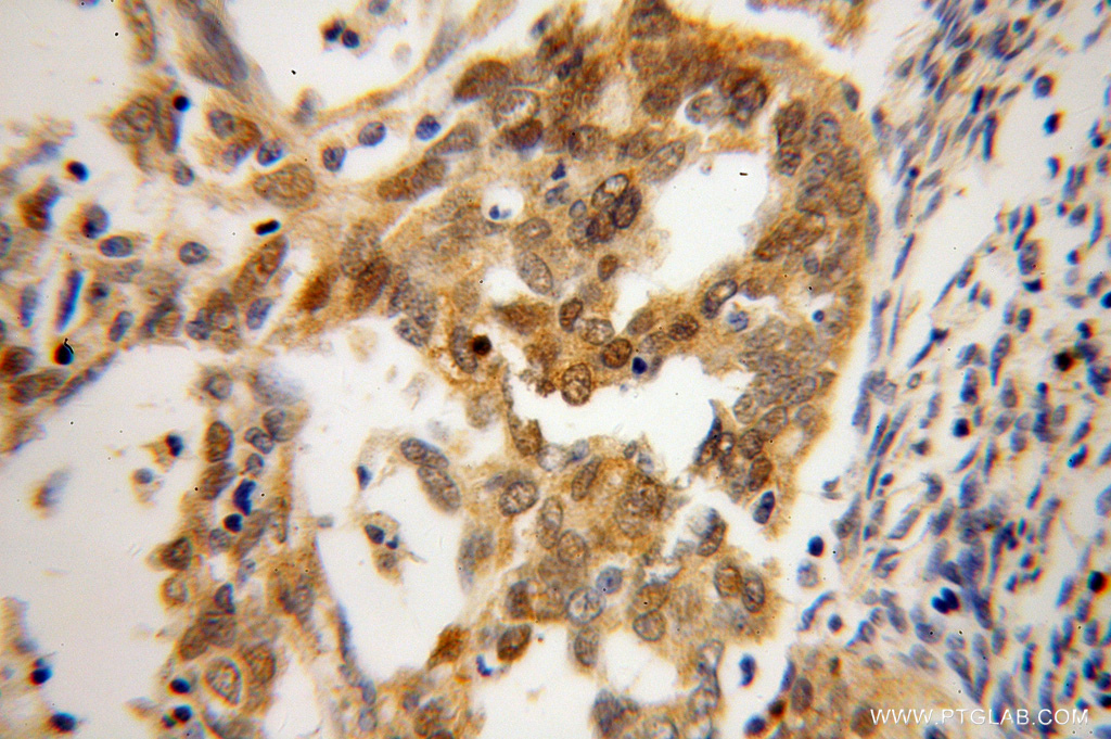
- Submitted by
- Proteintech Group (provider)
- Main image

- Experimental details
- Immunohistochemical of paraffin-embedded human endometrial cancer using 14711-1-AP(MGEA5 antibody) at dilution of 1:100 (under 40x lens)
- Sample type
- tissue