NBP2-49659
antibody from Novus Biologicals
Targeting: CTAG2
CAMEL, CT6.2a, CT6.2b, ESO2, LAGE-1, LAGE-1a, LAGE-1b, LAGE1, MGC138724, MGC3803
Antibody data
- Antibody Data
- Antigen structure
- References [0]
- Comments [0]
- Validations
- Immunohistochemistry [6]
Submit
Validation data
Reference
Comment
Report error
- Product number
- NBP2-49659 - Provider product page

- Provider
- Novus Biologicals
- Product name
- Rabbit Polyclonal CTAG2 Antibody
- Antibody type
- Polyclonal
- Description
- Immunogen affinity purified. Specificity of human CTAG2 antibody verified on a Protein Array containing target protein plus 383 other non-specific proteins.
- Reactivity
- Human
- Host
- Rabbit
- Isotype
- IgG
- Vial size
- 0.1 ml
- Storage
- Store at 4C short term. Aliquot and store at -20C long term. Avoid freeze-thaw cycles.
No comments: Submit comment
Supportive validation
- Submitted by
- Novus Biologicals (provider)
- Main image

- Experimental details
- Immunohistochemistry-Paraffin: CTAG2 Antibody [NBP2-49659] - Staining of human testis shows high expression.
- Submitted by
- Novus Biologicals (provider)
- Main image

- Experimental details
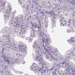
- Immunohistochemistry-Paraffin: CTAG2 Antibody [NBP2-49659] - Staining of human prostate shows low expression as expected.
- Submitted by
- Novus Biologicals (provider)
- Main image

- Experimental details
- Immunohistochemistry-Paraffin: CTAG2 Antibody [NBP2-49659] - Analysis in human testis and prostate tissues. Corresponding CTAG2 RNA-seq data are presented for the same tissues.
- Submitted by
- Novus Biologicals (provider)
- Main image

- Experimental details
- Immunohistochemistry-Paraffin: CTAG2 Antibody [NBP2-49659] - Staining of human cerebral cortex shows no positivity in neurons as expected.
- Submitted by
- Novus Biologicals (provider)
- Main image

- Experimental details
- Immunohistochemistry-Paraffin: CTAG2 Antibody [NBP2-49659] - Staining of human testis shows strong cytoplasmic positivity in cells in seminiferous ducts.
- Submitted by
- Novus Biologicals (provider)
- Main image

- Experimental details
- Immunohistochemistry-Paraffin: CTAG2 Antibody [NBP2-49659] - Staining of human tonsil shows no positivity in non-germinal center cells as expected.