Antibody data
- Antibody Data
- Antigen structure
- References [0]
- Comments [0]
- Validations
- Immunocytochemistry [2]
- Immunohistochemistry [4]
Submit
Validation data
Reference
Comment
Report error
- Product number
- PA5-58430 - Provider product page

- Provider
- Invitrogen Antibodies
- Product name
- DDIAS Polyclonal Antibody
- Antibody type
- Polyclonal
- Antigen
- Recombinant protein fragment
- Description
- Immunogen sequence: GFTVIDYFHQ LLQTFNFRKL QCDSQAPNNH LLALDHSNSD LSSIYTSDST SDFFKSCSKD TFSKFWQPSL EFTCIVSQLT DNDDFSASEQ SKAFGTLQQN RKS Highest antigen sequence identity to the following orthologs: Mouse - 47%, Rat - 50%.
- Reactivity
- Human
- Host
- Rabbit
- Isotype
- IgG
- Vial size
- 100 μL
- Concentration
- 0.05 mg/mL
- Storage
- Store at 4°C short term. For long term storage, store at -20°C, avoiding freeze/thaw cycles.
No comments: Submit comment
Supportive validation
- Submitted by
- Invitrogen Antibodies (provider)
- Main image

- Experimental details
- Immunofluorescent staining of DDIAS in human cell line A-431 using a DDIAS Polyclonal Antibody (Product # PA5-58430) shows localization to plasma membrane and cytosol.
- Submitted by
- Invitrogen Antibodies (provider)
- Main image

- Experimental details
- Immunofluorescent staining of DDIAS in human cell line A-431 using a DDIAS Polyclonal Antibody (Product # PA5-58430) shows localization to plasma membrane and cytosol.
Supportive validation
- Submitted by
- Invitrogen Antibodies (provider)
- Main image

- Experimental details
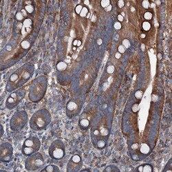
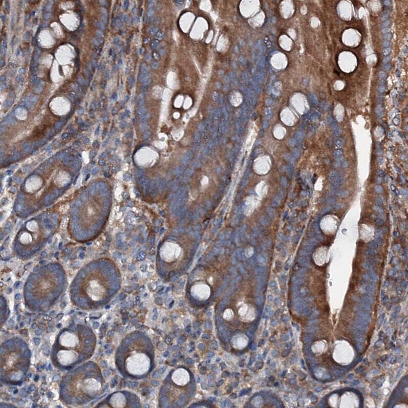
- Immunohistochemical analysis of DDIAS in human duodenum using DDIAS Polyclonal Antibody (Product # PA5-58430) shows strong cytoplasmic positivity in glandular cells.
- Submitted by
- Invitrogen Antibodies (provider)
- Main image

- Experimental details
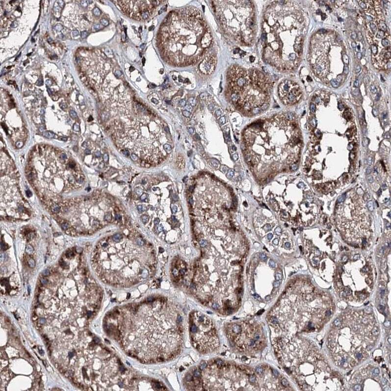
- Immunohistochemical analysis of DDIAS in human kidney using DDIAS Polyclonal Antibody (Product # PA5-58430) shows strong cytoplasmic positivity in cells in tubules.
- Submitted by
- Invitrogen Antibodies (provider)
- Main image

- Experimental details
- Immunohistochemical analysis of DDIAS in human lymph node using DDIAS Polyclonal Antibody (Product # PA5-58430) shows strong cytoplasmic positivity in non-germinal center cells.
- Submitted by
- Invitrogen Antibodies (provider)
- Main image

- Experimental details
- Immunohistochemical staining of DDIAS in human tonsil using a DDIAS Polyclonal Antibody (Product # PA5-58430) shows moderate cytoplasmic positivity in germinal center cells and non-germinal center cells.