Antibody data
- Antibody Data
- Antigen structure
- References [0]
- Comments [0]
- Validations
- Immunocytochemistry [1]
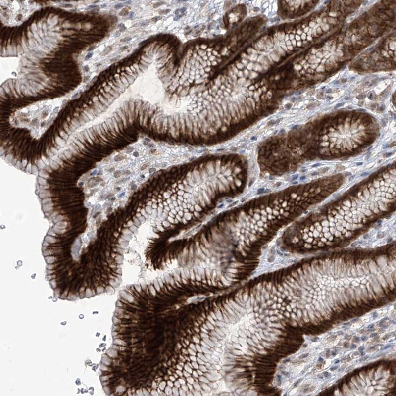
- Immunohistochemistry [1]
Submit
Validation data
Reference
Comment
Report error
- Product number
- PA5-65117 - Provider product page

- Provider
- Invitrogen Antibodies
- Product name
- KIAA1522 Polyclonal Antibody
- Antibody type
- Polyclonal
- Antigen
- Recombinant protein fragment
- Description
- Immunogen sequence: ASFIFSKGSRK LQLERPVSPE TQADLQRNLV AELRSISEQR PPQAPKKSPK APPPVARKPS VGVPPPASPS YPRAEPLTAP PTNGLPHTQD Highest antigen sequence identity to the following orthologs - mouse 84%, rat 81%.
- Reactivity
- Human
- Host
- Rabbit
- Isotype
- IgG
- Vial size
- 100 μL
- Concentration
- 0.4 mg/mL
- Storage
- Store at 4°C short term. For long term storage, store at -20°C, avoiding freeze/thaw cycles.
No comments: Submit comment
Supportive validation
- Submitted by
- Invitrogen Antibodies (provider)
- Main image

- Experimental details
- Immunofluorescent staining of KIAA1522 in human cell line U-2 OS shows localization to plasma membrane. Samples were probed using a KIAA1522 Polyclonal Antibody (Product # PA5-65117).
Supportive validation
- Submitted by
- Invitrogen Antibodies (provider)
- Main image

- Experimental details
- Immunohistochemical staining of KIAA1522 in human stomach, upper using KIAA1522 Polyclonal Antibody (Product # PA5-65117) shows strong cytoplasmic and membranous positivity in glandular cells.