Antibody data
- Antibody Data
- Antigen structure
- References [0]
- Comments [0]
- Validations
- Immunocytochemistry [2]
- Immunohistochemistry [4]
Submit
Validation data
Reference
Comment
Report error
- Product number
- PA5-56907 - Provider product page

- Provider
- Invitrogen Antibodies
- Product name
- KIAA1522 Polyclonal Antibody
- Antibody type
- Polyclonal
- Antigen
- Recombinant protein fragment
- Description
- Immunogen sequence: TSYVAESSTA EDALSIRSEM IQRKGSTFRP HDSFPKSGKS GRRRRERRST VLGLPQHVQK ELGLRNEREA PGTPRAPGAR DAVRIPTVD Highest antigen sequence identity to the following orthologs: Mouse - 90%, Rat - 90%.
- Reactivity
- Human
- Host
- Rabbit
- Isotype
- IgG
- Vial size
- 100 μL
- Concentration
- 0.2 mg/mL
- Storage
- Store at 4°C short term. For long term storage, store at -20°C, avoiding freeze/thaw cycles.
No comments: Submit comment
Supportive validation
- Submitted by
- Invitrogen Antibodies (provider)
- Main image

- Experimental details
- Immunofluorescent staining of KIAA1522 in human cell line RT4 using a KIAA1522 Polyclonal Antibody (Product # PA5-56907) shows localization to cell junctions.
- Submitted by
- Invitrogen Antibodies (provider)
- Main image

- Experimental details
- Immunofluorescent staining of KIAA1522 in human cell line RT4 using a KIAA1522 Polyclonal Antibody (Product # PA5-56907) shows localization to cell junctions.
Supportive validation
- Submitted by
- Invitrogen Antibodies (provider)
- Main image

- Experimental details
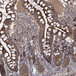
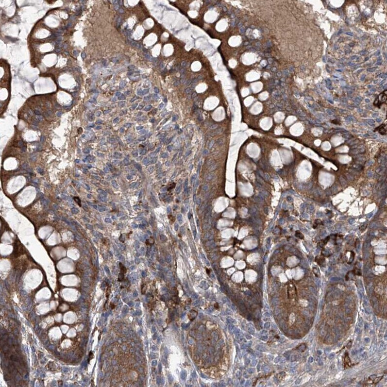
- Immunohistochemical analysis of KIAA1522 in human small intestine using KIAA1522 Polyclonal Antibody (Product # PA5-56907) shows strong cytoplasmic positivity in glandular cells.
- Submitted by
- Invitrogen Antibodies (provider)
- Main image

- Experimental details
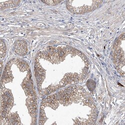
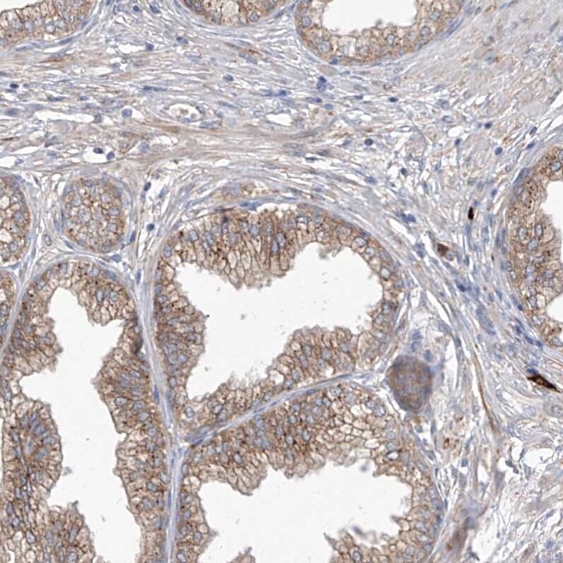
- Immunohistochemical analysis of KIAA1522 in human prostate using KIAA1522 Polyclonal Antibody (Product # PA5-56907) shows moderate membranous positivity in glandular cells.
- Submitted by
- Invitrogen Antibodies (provider)
- Main image

- Experimental details
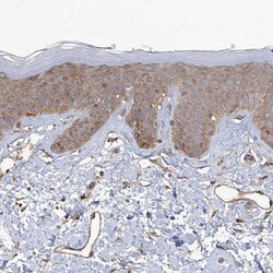
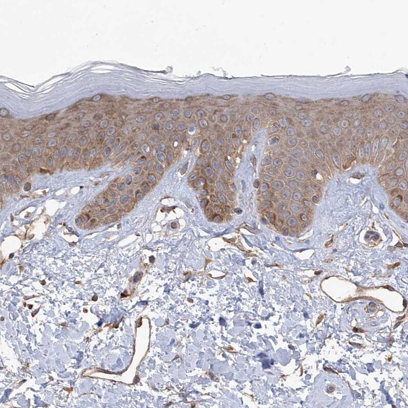
- Immunohistochemical analysis of KIAA1522 in human skin using KIAA1522 Polyclonal Antibody (Product # PA5-56907) shows moderate cytoplasmic positivity in squamous epithelial cells.
- Submitted by
- Invitrogen Antibodies (provider)
- Main image

- Experimental details
- Immunohistochemical analysis of KIAA1522 in human skeletal muscle using KIAA1522 Polyclonal Antibody (Product # PA5-56907) shows low expression in myocytes as expected.