A00532
antibody from Boster Biological Technology
Targeting: KDM1A
AOF2, BHC110, KDM1, KIAA0601, LSD1
Antibody data
- Antibody Data
- Antigen structure
- References [0]
- Comments [0]
- Validations
- Western blot [1]
Submit
Validation data
Reference
Comment
Report error
- Product number
- A00532 - Provider product page

- Provider
- Boster Biological Technology
- Product name
- Anti-LSD1 KDM1A Antibody
- Antibody type
- Polyclonal
- Description
- Anti-LSD1 KDM1A Antibody validated for ELISA, WB, IHC, IF. Reactive to Human, Mouse, Rat.
- Reactivity
- Human, Mouse, Rat
- Host
- Rabbit
- Isotype
- IgG
- Vial size
- 0.1 mg
- Concentration
- 1 mg/mL
- Storage
- At -20°C for one year. At 4°C for one month. It can also be aliquoted and stored frozen at -20°C for a longer time. Avoid repeated freezing and thawing.
No comments: Submit comment
Supportive validation
- Submitted by
- Boster Biological Technology (provider)
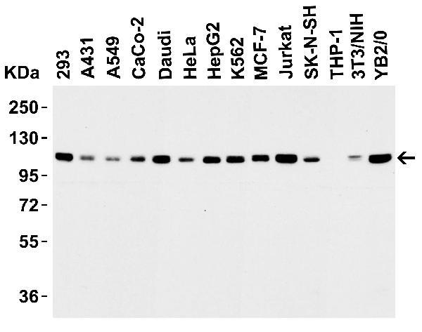
- Main image

- Experimental details
- Western Blot Validation in Cell LinesLoading: 15 μg of lysates per lane.Antibodies: LSD1 A00532 (0.2 μg/mL), 1h incubation at RT in 5% NFDM/TBST.Secondary: Goat anti-rabbit IgG HRP conjugate at 1:10000 dilution.
- Additional image
