Antibody data
- Antibody Data
- Antigen structure
- References [3]
- Comments [0]
- Validations
- Western blot [1]
- Immunohistochemistry [1]
Submit
Validation data
Reference
Comment
Report error
- Product number
- 11346-1-AP - Provider product page

- Provider
- Proteintech Group
- Proper citation
- Proteintech Cat#11346-1-AP, RRID:AB_2197509
- Product name
- STAMBP antibody
- Antibody type
- Polyclonal
- Description
- KD/KO validated STAMBP antibody (Cat. #11346-1-AP) is a rabbit polyclonal antibody that shows reactivity with human, mouse, rat and has been validated for the following applications: IHC, WB, ELISA.
- Reactivity
- Human, Mouse, Rat
- Host
- Rabbit
- Conjugate
- Unconjugated
- Isotype
- IgG
- Vial size
- 20ul, 150ul
Submitted references A phosphoinositide signalling pathway mediates rapid lysosomal repair.
Arrestin-2 interacts with the endosomal sorting complex required for transport machinery to modulate endosomal sorting of CXCR4.
Endosomal deubiquitinating enzymes control ubiquitination and down-regulation of protease-activated receptor 2.
Tan JX, Finkel T
Nature 2022 Sep;609(7928):815-821
Nature 2022 Sep;609(7928):815-821
Arrestin-2 interacts with the endosomal sorting complex required for transport machinery to modulate endosomal sorting of CXCR4.
Malik R, Marchese A
Molecular biology of the cell 2010 Jul 15;21(14):2529-41
Molecular biology of the cell 2010 Jul 15;21(14):2529-41
Endosomal deubiquitinating enzymes control ubiquitination and down-regulation of protease-activated receptor 2.
Hasdemir B, Murphy JE, Cottrell GS, Bunnett NW
The Journal of biological chemistry 2009 Oct 9;284(41):28453-28466
The Journal of biological chemistry 2009 Oct 9;284(41):28453-28466
No comments: Submit comment
Supportive validation
- Submitted by
- Proteintech Group (provider)
- Main image

- Experimental details
- mouse brain tissue were subjected to SDS PAGE followed by western blot with 11346-1-AP(STAMBP antibody) at dilution of 1:300
- Sample type
- tissue
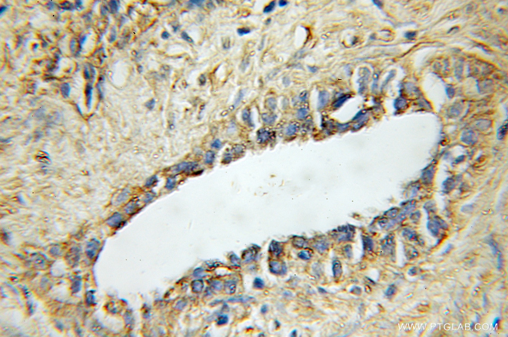
Supportive validation
- Submitted by
- Proteintech Group (provider)
- Main image

- Experimental details
- The STAMBP antibody from Proteintech is a rabbit polyclonal antibody to a recombinant protein of human STAMBP. This antibody recognizes human, mouse, rat antigen. The STAMBP antibody has been validated for the following applications: ELISA, WB, IHC analysis.