Antibody data
- Antibody Data
- Antigen structure
- References [0]
- Comments [0]
- Validations
- Western blot [1]
- Immunohistochemistry [2]
Submit
Validation data
Reference
Comment
Report error
- Product number
- LS-C185771 - Provider product page

- Provider
- LSBio
- Product name
- CCDC83 Antibody (aa163-397) LS-C185771
- Antibody type
- Polyclonal
- Description
- Immunoaffinity purified
- Reactivity
- Human
- Host
- Rabbit
- Isotype
- IgG
- Storage
- Keep as concentrated solution. Aliquot and store at -20°C or below. Avoid multiple freeze-thaw cycles.
No comments: Submit comment
Enhanced validation
- Submitted by
- LSBio (provider)
- Enhanced method
- Genetic validation
- Main image

- Experimental details
- Sample (30 ug of whole cell lysate). A: JurKat. 10% SDS PAGE. CCDC83 antibody. CCDC83 antibody diluted at 1:1000.
Supportive validation
- Submitted by
- LSBio (provider)
- Enhanced method
- Genetic validation
- Main image

- Experimental details
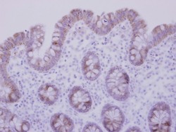
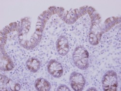
- IHC of paraffin-embedded Normal Colon using CCDC83 antibody at 1:500 dilution.
- Submitted by
- LSBio (provider)
- Enhanced method
- Genetic validation
- Main image

- Experimental details
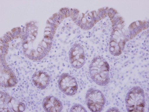
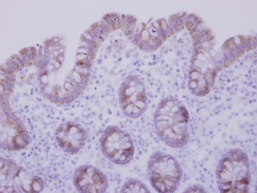
- IHC of paraffin-embedded Normal Colon using CCDC83 antibody at 1:500 dilution.