Antibody data
- Antibody Data
- Antigen structure
- References [0]
- Comments [0]
- Validations
- Western blot [1]
- Immunohistochemistry [1]
Submit
Validation data
Reference
Comment
Report error
- Product number
- TA308105 - Provider product page

- Provider
- OriGene
- Product name
- Rabbit polyclonal antibody to CCDC83 (coiled-coil domain containing 83)
- Antibody type
- Polyclonal
- Description
- Rabbit polyclonal antibody to CCDC83 (coiled-coil domain containing 83)
- Host
- Rabbit
- Conjugate
- Unconjugated
- Epitope
- CCDC83
- Isotype
- IgG
- Antibody clone number
- NULL
- Vial size
- 100 µl
- Concentration
- 1mg/ml
No comments: Submit comment
Supportive validation
- Submitted by
- OriGene (provider)
- Main image

- Experimental details
- Sample (30 ug of whole cell lysate). A: JurKat. 10% SDS PAGE. CCDC83 antibody. TA308105 diluted at 1:1000.
- Validation comment
- WB
Supportive validation
- Submitted by
- OriGene (provider)
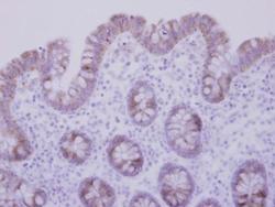
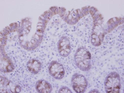
- Main image

- Experimental details
- Immunohistochemical analysis of paraffin-embedded Normal Colon, using CCDC83(TA308105) antibody at 1:500 dilution.
- Validation comment
- IHC