Antibody data
- Antibody Data
- Antigen structure
- References [3]
- Comments [0]
- Validations
- Western blot [1]
- Immunohistochemistry [2]
Submit
Validation data
Reference
Comment
Report error
- Product number
- 20524-1-AP - Provider product page

- Provider
- Proteintech Group
- Proper citation
- Proteintech Cat#20524-1-AP, RRID:AB_10666160
- Product name
- Hikeshi antibody
- Antibody type
- Polyclonal
- Description
- Hikeshi antibody (Cat. #20524-1-AP) is a rabbit polyclonal antibody that shows reactivity with human, mouse, rat and has been validated for the following applications: IF, IHC, IP, WB,ELISA.
- Reactivity
- Human, Mouse, Rat
- Host
- Rabbit
- Conjugate
- Unconjugated
- Isotype
- IgG
- Vial size
- 20ul, 150ul
Submitted references Nuclear import carrier Hikeshi cooperates with HSP70 to promote murine oligodendrocyte differentiation and CNS myelination.
Lack of Hikeshi activates HSF1 activity under normal conditions and disturbs the heat-shock response.
The Infantile Leukoencephalopathy-Associated Mutation of C11ORF73/HIKESHI Proteins Generates de novo Interactive Activity with Filamin A, Inhibiting Oligodendroglial Cell Morphological Differentiation.
Li L, Li D, Sun D, Zhang X, Lei W, Wu M, Huang Q, Nian X, Dai W, Lu X, Zhou Z, Zhu Y, Xiao Y, Zhang L, Mo W, Liu Z, Zhang L
Developmental cell 2023 Nov 6;58(21):2275-2291.e6
Developmental cell 2023 Nov 6;58(21):2275-2291.e6
Lack of Hikeshi activates HSF1 activity under normal conditions and disturbs the heat-shock response.
Kose S, Imai K, Watanabe A, Nakai A, Suzuki Y, Imamoto N
Life science alliance 2022 Sep;5(9)
Life science alliance 2022 Sep;5(9)
The Infantile Leukoencephalopathy-Associated Mutation of C11ORF73/HIKESHI Proteins Generates de novo Interactive Activity with Filamin A, Inhibiting Oligodendroglial Cell Morphological Differentiation.
Hattori K, Tago K, Memezawa S, Ochiai A, Sawaguchi S, Kato Y, Sato T, Tomizuka K, Ooizumi H, Ohbuchi K, Mizoguchi K, Miyamoto Y, Yamauchi J
Medicines (Basel, Switzerland) 2021 Feb 1;8(2)
Medicines (Basel, Switzerland) 2021 Feb 1;8(2)
No comments: Submit comment
Supportive validation
- Submitted by
- Proteintech Group (provider)
- Main image

- Experimental details
- PC-3 cells were subjected to SDS PAGE followed by western blot with 20524-1-AP(C11orf73 antibody) at dilution of 1:500
- Sample type
- cell line
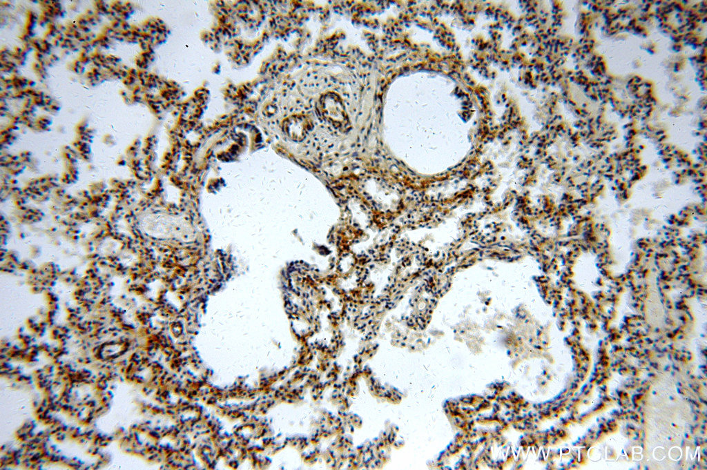
Supportive validation
- Submitted by
- Proteintech Group (provider)
- Main image

- Experimental details
- Immunohistochemical of paraffin-embedded human lung using 20524-1-AP(C11orf73 antibody) at dilution of 1:100 (under 10x lens)
- Sample type
- tissue
- Submitted by
- Proteintech Group (provider)
- Main image

- Experimental details
- The Hikeshi antibody from Proteintech is a rabbit polyclonal antibody to a fusion protein of human Hikeshi. This antibody recognizes human,mouse,rat antigen. The Hikeshi antibody has been validated for the following applications: ELISA, WB, IHC analysis.