ABIN4892526
antibody from antibodies-online
		Targeting: SLC17A5
		
		AST, ISSD, NSD, SD, SIALIN, SIASD, SLD	
	
	
	
	
Antibody data
- Antibody Data
- Antigen structure
- References [0]
- Comments [0]
- Validations
- Western blot [1]
- Immunohistochemistry [1]
Submit
Validation data
Reference
Comment
Report error
- Product number
- ABIN4892526 - Provider product page 
- Provider
- antibodies-online
- Product name
- anti-Solute Carrier Family 17 (Acidic Sugar Transporter), Member 5 (SLC17A5) (N-Term) antibody
- Antibody type
- Polyclonal
- Description
- Immunogen affinity purified
- Reactivity
- Human
- Host
- Rabbit
- Epitope
- N-Term
- Vial size
- 100 μL
- Storage
- Store at -20°C. Avoid freeze-thaw cycles.
				No comments: Submit comment	
	
			
							
					Supportive validation
					
									
				
				- Submitted by
- antibodies-online (provider)
- Main image
 
- Experimental details
- WB
							
					Supportive validation
					
									
				
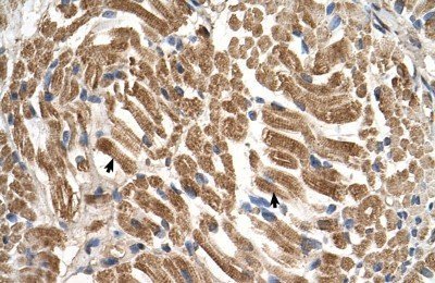
		- Submitted by
- antibodies-online (provider)
- Main image
 
- Experimental details
- IHC