Antibody data
- Antibody Data
- Antigen structure
- References [0]
- Comments [0]
- Validations
- Western blot [1]
- Immunocytochemistry [1]
- Immunohistochemistry [1]
Submit
Validation data
Reference
Comment
Report error
- Product number
- GTX83127 - Provider product page

- Provider
- GeneTex
- Proper citation
- GeneTex Cat#GTX83127, RRID:AB_11166469
- Product name
- Wnt5a antibody [6F2]
- Antibody type
- Monoclonal
- Reactivity
- Human, Rat
- Host
- Mouse
No comments: Submit comment
Supportive validation
- Submitted by
- GeneTex (provider)
- Main image

- Experimental details
- Western blot analysis using anti-WNT5A monoclonal antibody against HEK293 (1) and WNT5A-hIgGFc transfected HEK293 cell lysate(2).
Supportive validation
- Submitted by
- GeneTex (provider)
- Main image

- Experimental details
- Confocal immunofluorescence analysis of PC-12 cells using anti-WNT5A monoclonal antioby(green), showing cytoplasmic localization. Blue: DRAQ5 fluorescent DNA dye.
Supportive validation
- Submitted by
- GeneTex (provider)
- Main image

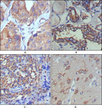
- Experimental details
- Immunohistochemical analysis of paraffin-embedded human lung cancer(A), thyroid cancer(B), lymph node(C) and brain(D) showing cytoplasmic and extracellular matrix localization using anti-WNT5A antibody with DAB staining.