Antibody data
- Antibody Data
- Antigen structure
- References [0]
- Comments [0]
- Validations
- Western blot [1]
- Immunohistochemistry [4]
Submit
Validation data
Reference
Comment
Report error
- Product number
- LS-C47384 - Provider product page

- Provider
- LSBio
- Proper citation
- LifeSpan Cat#LS-C47384, RRID:AB_2304422
- Product name
- WNT5A Antibody (aa190-230) LS-C47384
- Antibody type
- Polyclonal
- Description
- Protein G purified
- Reactivity
- Human, Mouse, Rat, Bovine, Simian
- Host
- Rabbit
- Isotype
- IgG
- Storage
- Short term: 4°C Long term: Aliquot and store at -20°C. Avoid freeze-thaw cycles.
No comments: Submit comment
Enhanced validation
- Submitted by
- LSBio (provider)
- Enhanced method
- Genetic validation
- Main image

- Experimental details
- Western blot of human Wnt5A in human heart lysate in the 1) absence, 2) presence of immunizing peptide, 3) mouse and 4) rat heart using antibody at0.5 ug/ml.
Enhanced validation
- Submitted by
- LSBio (provider)
- Enhanced method
- Genetic validation
- Main image

- Experimental details
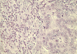
- IHC of human breast tumor tissue using antibody (wnt-5a) at 10 ug/ml.
- Submitted by
- LSBio (provider)
- Enhanced method
- Genetic validation
- Main image

- Experimental details
- IHC of human breast tumor tissue using control (rabbit Ig) at 10 ug/ml.
- Submitted by
- LSBio (provider)
- Main image

- Experimental details
- IHC of human breast tumor tissue using antibody (wnt-5a) at 10 ug/ml.
- Submitted by
- LSBio (provider)
- Main image

- Experimental details
- IHC of human breast tumor tissue using control (rabbit Ig) at 10 ug/ml.