Antibody data
- Antibody Data
- Antigen structure
- References [1]
- Comments [0]
- Validations
- Western blot [1]
- Immunohistochemistry [11]
- Flow cytometry [2]
Submit
Validation data
Reference
Comment
Report error
- Product number
- NBP2-01151 - Provider product page

- Provider
- Novus Biologicals
- Product name
- Mouse Monoclonal Cytochrome P450 17A1 Antibody
- Antibody type
- Monoclonal
- Description
- Affinity purified.
- Reactivity
- Human
- Host
- Mouse
- Isotype
- IgG
- Vial size
- 0.1 ml
- Concentration
- 1 mg/ml
- Storage
- Store at -20C. Avoid freeze-thaw cycles.
Submitted references Differential response to abiraterone acetate and di-n-butyl phthalate in an androgen-sensitive human fetal testis xenograft bioassay.
Spade DJ, Hall SJ, Saffarini CM, Huse SM, McDonnell EV, Boekelheide K
Toxicological sciences : an official journal of the Society of Toxicology 2014 Mar;138(1):148-60
Toxicological sciences : an official journal of the Society of Toxicology 2014 Mar;138(1):148-60
No comments: Submit comment
Supportive validation
- Submitted by
- Novus Biologicals (provider)
- Main image

- Experimental details
- Western Blot: Cytochrome P450 17A1 Antibody (3F11) [NBP2-01151] - HEK293T cells were transfected with the pCMV6-ENTRY control (Left lane) or pCMV6-ENTRY Cytochrome P450 17A1 (Right lane) cDNA for 48 hrs and lysed. Equivalent amounts of cell lysates (5 ug per lane) were separated by SDS-PAGE and immunoblotted with anti-Cytochrome P450 17A1.
Supportive validation
- Submitted by
- Novus Biologicals (provider)
- Main image

- Experimental details
- Immunohistochemistry-Paraffin: Cytochrome P450 17A1 Antibody (3F11) [NBP2-01151] - Staining of paraffin-embedded Human tonsil using anti-Cytochrome P450 17A1 mouse monoclonal antibody.
- Submitted by
- Novus Biologicals (provider)
- Main image

- Experimental details
- Immunohistochemistry-Paraffin: Cytochrome P450 17A1 Antibody (3F11) [NBP2-01151] - Staining of paraffin-embedded Human pancreas tissue using anti-Cytochrome P450 17A1 mouse monoclonal antibody.
- Submitted by
- Novus Biologicals (provider)
- Main image

- Experimental details
- Immunohistochemistry-Paraffin: Cytochrome P450 17A1 Antibody (3F11) [NBP2-01151] - Staining of paraffin-embedded Human Ovary tissue using anti-Cytochrome P450 17A1 mouse monoclonal antibody.
- Submitted by
- Novus Biologicals (provider)
- Main image

- Experimental details
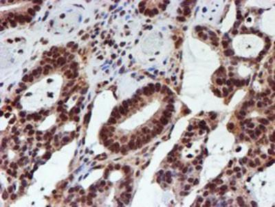
- Immunohistochemistry-Paraffin: Cytochrome P450 17A1 Antibody (3F11) [NBP2-01151] - Staining of paraffin-embedded Human Kidney tissue using anti-Cytochrome P450 17A1 mouse monoclonal antibody.
- Submitted by
- Novus Biologicals (provider)
- Main image

- Experimental details
- Immunohistochemistry-Paraffin: Cytochrome P450 17A1 Antibody (3F11) [NBP2-01151] - Staining of paraffin-embedded Human breast tissue using anti-Cytochrome P450 17A1 mouse monoclonal antibody.
- Submitted by
- Novus Biologicals (provider)
- Main image

- Experimental details
- Immunohistochemistry-Paraffin: Cytochrome P450 17A1 Antibody (3F11) [NBP2-01151] - Staining of paraffin-embedded Carcinoma of Human liver tissue using anti-Cytochrome P450 17A1 mouse monoclonal antibody.
- Submitted by
- Novus Biologicals (provider)
- Main image

- Experimental details
- Immunohistochemistry-Paraffin: Cytochrome P450 17A1 Antibody (3F11) [NBP2-01151] - Staining of paraffin-embedded Adenocarcinoma of Human ovary tissue using anti-Cytochrome P450 17A1 mouse monoclonal antibody.
- Submitted by
- Novus Biologicals (provider)
- Main image

- Experimental details
- Immunohistochemistry-Paraffin: Cytochrome P450 17A1 Antibody (3F11) [NBP2-01151] - Staining of paraffin-embedded Adenocarcinoma of Human endometrium tissue using anti-Cytochrome P450 17A1 mouse monoclonal antibody.
- Submitted by
- Novus Biologicals (provider)
- Main image

- Experimental details
- Immunohistochemistry-Paraffin: Cytochrome P450 17A1 Antibody (3F11) [NBP2-01151] - Staining of paraffin-embedded Adenocarcinoma of Human colon tissue using anti-Cytochrome P450 17A1 mouse monoclonal antibody.
- Submitted by
- Novus Biologicals (provider)
- Main image

- Experimental details
- Immunohistochemistry: Cytochrome P450 17A1 Antibody (OTI3F11) [NBP2-01151] - Staining in 13 year old testis. Immunoexpression in Leydig cell. Image from a verified customer review.
- Submitted by
- Novus Biologicals (provider)
- Main image

- Experimental details
- Immunohistochemistry: Cytochrome P450 17A1 Antibody (OTI3F11) [NBP2-01151] - Staining in macaque Leydig cells. Image from a verified customer review.
Supportive validation
- Submitted by
- Novus Biologicals (provider)
- Main image

- Experimental details
- Flow Cytometry: Cytochrome P450 17A1 Antibody (3F11) [NBP2-01151] - Analysis of Jurkat cells, using anti-Cytochrome P450 17A1 antibody, (Red), compared to a nonspecific negative control antibody (Blue).
- Submitted by
- Novus Biologicals (provider)
- Main image

- Experimental details
- Flow Cytometry: Cytochrome P450 17A1 Antibody (3F11) [NBP2-01151] - Analysis of Hela cells, using anti-Cytochrome P450 17A1 antibody, (Red), compared to a nonspecific negative control antibody (Blue).