Antibody data
- Antibody Data
- Antigen structure
- References [0]
- Comments [0]
- Validations
- Immunohistochemistry [1]
Submit
Validation data
Reference
Comment
Report error
- Product number
- TA316638 - Provider product page

- Provider
- OriGene
- Product name
- COX7A2 Rabbit Polyclonal (N-Terminus) Antibody
- Antibody type
- Polyclonal
- Description
- COX7A2 Rabbit Polyclonal (N-Terminus) Antibody
- Host
- Rabbit
- Conjugate
- Unconjugated
- Epitope
- COX7A2
- Isotype
- IgG
- Antibody clone number
- NULL
- Vial size
- 50 µg
- Concentration
- 1 mg/ml
No comments: Submit comment
Supportive validation
- Submitted by
- OriGene (provider)
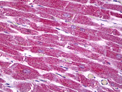
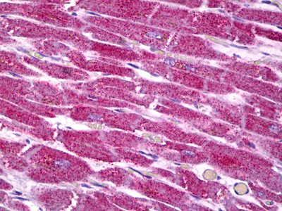
- Main image

- Experimental details
- Anti-COX7A2 antibody IHC of human heart. Immunohistochemistry of formalin-fixed, paraffin-embedded tissue after heat-induced antigen retrieval. Antibody dilution 1:50.
- Validation comment
- IHC